Par Patrick Pla, Université Paris-Saclay
Chez les organismes pluricellulaires, les cellules restent solidaires après la fin de la mitose. Cela est du à l’adhérence cellule-cellule mais aussi à l’adhérence cellule-matrice extracellulaire. La matrice extracellulaire (MEC) est un réseau macromoléculaire tridimensionnel de glycoprotéines qui non seulement permet l’attachement cellulaire, mais aussi agit comme un signal pour les cellules (par ses propriétés mécaniques (mécanotransduction) et par ses propriétés biochimiques). La MEC agit également comme un réservoir d’autres molécules de signalisation (Hynes, 2009). La MEC interagit de manière dynamique avec les cellules pour réguler leur comportement et à leur tour, les cellules réagissent en modifiant la matrice et donc l’environnement local. Il faut donc parler des matrices extracellulaires au pluriel, tant la diversité est importante. Ainsi, les MEC ne constituent pas un simple ciment entre les cellules mais ont des rôles importants pour tous les processus cellulaires.
Les adhérences inter-cellulaires et des cellules à la MEC ne doivent pas être vues comme des systèmes séparés mais comme un ensemble de signaux s’intégrant dans la cellule par des réponses impliquant notamment le cytosquelette et tout particulièrement les microfilaments d’actine. Des perturbations de interactions cellule-cellules ont des répercussions sur les interactions cellules-MEC et inversement comme cela a été démontré lors des mouvements morphogénétiques permettant de former l’amnioséreuse (une annexe embryonnaire dorsale) chez la drosophile (Goodwin et al., 2017).
- Composition et mise en place des matrices extracellulaires animales
- Rôle structural des matrices extracellulaires
- Rôle dans le transport, la signalisation et la migration des matrices extracellulaires
- Remodelage et lyse des MEC
Composition et mise en place des matrices extracellulaires animales
Les principaux constituants des MEC animales sont les suivants :
Le collagène (= jusqu’à 25% du poids des protéines totales des Mammifères) est constitué de longues chaines polypeptidiques avec des répétitions de triplets Glycine-Proline-HydroxyProline. Trois chaines dites alpha forment une triple hélice avec le plus petit acide aminé, la glycine, à l’intérieur. Cette unité structurale du collagène est stabilisée par des liaisons hydrogène. Plusieurs hélices s’associent en fibrille (0,5 µm de diamètre) puis en fibre (qui peut atteindre plusieurs µm de diamètre) qui résiste aux forces d’étirement.



Un commentaire détaillé de cette figure est disponible en vidéo.
D’après https://en.wikipedia.org/wiki/Collagen#/media/File:Collagen_biosynthesis_(en).png
Ces complexes supramoléculaires ne peuvent se former qu’en dehors de la cellule d’où des étapes de maturation au fur et à mesure de la sécrétion.

La synthèse d’hydroxyproline à partir de la proline est réalisée sur les chaînes polypeptidiques dans le réticulum endoplasmique granuleux (REG) par la prolyl-hydroxylase qui nécessite de l’acide ascorbique (vitamine C) pour son activité. En son absence, les fibres de collagène sont altérées et cela peut provoquer le scorbut (qui a donné son nom à l’acide ascorbique), une maladie caractérisée par des lésions de la peau et des vaisseaux sanguins.

Une version commentée de cette figure est disponible en vidéo.
Source : https://www.jstage.jst.go.jp/article/biomedres/32/4/32_4_259/_pdf/-char/ja
Le collagène de type IV est particulier car il a de courtes régions qui ne sont pas en hélice. Il ne s’assemble pas en fibre mais en réseau et c’est un constituant des lames basales (voir plus loin).
Signalons que d’un point de vue évolutif, la présence de collagène est un caractère dérivé partagé exclusif des Métazoaires (Spongiaires + Eumétazoaires). La présence de lame basale avec le collagène de type IV est un caractère dérivé partagé exclusif des Eumétazoaires.
La fibronectine est constituée d’un dimère de grosses chaines polypeptidiques α et β liées par des ponts disulfures. Elle possède des domaines de fixation au collagène, aux sulfates d’héparanes (un glycosaminoglycane, voir plus loin) et aux intégrines (séquence RGD (Arg-Gly-Asp)) qui sont les récepteurs cellulaires à la MEC (voir plus loin). Les souris dépourvues d’allèles fonctionnels de la fibronectine meurent au cours du développement embryonnaire au jour 8,5 après la fécondation (E8,5) en raison de défauts du mésoderme et de la vascularisation (Georges‐Labouesse et al., 1996). Cela souligne l’importance critique de la fibronectine pour le développement embryonnaire à partir de la gastrulation.


La laminine est un gros complexe de trois longues chaines arrangées en croix. On la trouve dans les lames basales. Comme le collagène de type IV, les laminines peuvent s’auto-assembler en réseau maillé. Les différentes sous-unités de laminine ont également des sites de liaison avec les intégrines à la surface des cellules et avec les protéoglycanes. De plus, les laminines sont étroitement associées à une autre protéine d’adhérence, appelé nidogène, qui se lie au collagène de type IV. En raison de ces multiples interactions, la laminine, le nidogène (ou entactine), le collagène de type IV et les protéoglycanes forment des réseaux réticulés au sein des lames basales.


Les glycosaminoglycanes (GAGs) : ce sont de longues chaines d’oses formées par répétition de deux résidus glucidiques (diholoside) : par exemple, acide glucuronique/N-acétylglucosamine.

Les GAG présentent beaucoup de charges négatives exposées : ils attirent les ions et donc l’eau. Par conséquent, il y a une résistance à la compression. Les GAG (sauf l’acide hyaluronique) sont généralement associés de manière covalente à des protéines dites centrales. L’ensemble constitue les protéoglycanes (qui peuvent comprendre jusqu’à 95 % de leur poids sous forme de polysaccharide). Les protéoglycanes peuvent contenir de 1 jusqu’à plus de 100 chaînes GAG attachées aux résidus sérines d’une protéine. De nombreuses protéines centrales (allant de 10 à plus de 500 kDa) ont été identifiées, de sorte que les protéoglycanes constituent un groupe diversifié de macromolécules. Leur assemblage se fait généralement dans le réticulum endoplasmique granuleux et l’appareil de Golgi avant sécrétion. De très gros complexes peuvent se former (ex : complexe géant du cartilage).
Parmi les GAG, le HSPG (Héparane Sulfate Proteoglycane) joue un rôle particulièrement important que l’on peut diviser en 3 :
1) ils agissent comme corécepteurs pour les voies Wnt, FGF, Hedgehog (Hh) et BMP (Kreuger et al., 2006, Shiau et al., 2010, Yan et Lin, 2007).

2) Les HSPG modifient la capacité des molécules de signalisation à se déplacer d’une cellule à l’autre (Yan et Lin, 2009) et affectent donc les gradients des morphogènes.
3) Les HSPG peuvent être clivés ou éliminés de la membrane et de la matrice extracellulaire, modifiant la concentration et la disponibilité du ligand pour les cellules adjacentes (Manon-Jensen et al., 2010).
Ainsi, les HSPG sont importants pour le contrôle des gradients de morphogène. La perturbation des HSPG entraîne des défauts de gastrulation et de guidage axonal (Clément et al., 2008, Lee et al., 2004, Poulain et Chien, 2013, Topczewski et al., 2001). Des désulfatations des HSPG peuvent être nécessaires dans certains cas : par exemple chez des souris mutantes qui n’expriment pas Sulf1 et Sulf2 qui sont des enzymes extracellulaires qui enlèvent des fonctions 6-0-sulfates sur les HSPG, l’innervation des muscles lisses par les neurones entériques de l’oesophage ne se fait pas correctement. Le GDNF se lie trop fort aux HSPG-6-0-sulfatés et ne peut correctement diffuser pour agir efficacement sur les récepteurs des neurones (Ai et al., 2007).

Toutes ces molécules présentent une très grande diversité, d’origine génétique (chez l’Homme il y a 20 chaînes de collagène α différentes) mais aussi grâce à des épissages alternatifs. Il en résulte des isoformes spécifiques des tissus. C’est le cas de la fibronectine dont le pré-ARNm contient 50 exons. Il subit un épissage différent dans les fibroblastes et les hépatocytes. Dans le fibroblaste, l’ARNm contient deux exons de plus que celui produit dans l’hépatocyte. L’isoforme produite par les fibroblastes est sécrétée dans le tissu alentour et permet l’adhérence des cellules à la MEC. L’isoforme générée par les hépatocytes est sécrétée dans le sang et ne favorise pas l’adhérence des cellules. On peut aussi citer l’épissage alternatif du produit du gène COL2A1 qui code plusieurs formes de collagène produits soit dans les chondroblastes (les progéniteurs des chondrocytes), soit dans les chondrocytes différenciés qui forment le cartilage.

Rôle structural des matrices extracellulaires
Rôle de support et de soutien : développement des tissus cartilagineux et osseux
Les tissus squelettiques des vertébrés sont constitués de cartilage, d’os, de dentine et d’émail. Ils se développent généralement à partir du mésoderme, sauf dans la tête où les cellules de crêtes neurales (d’origine ectodermique) font une contribution majeure aux tissus squelettiques.
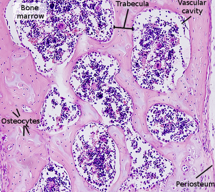
Les os des Vertébrés ont un rôle de support et de soutien. Ils sont essentiellement constitués de MEC minéralisée par l’hydroxyapatite : Ca10(PO4)6(OH)2. Le squelette sert aussi de réserve essentielle de calcium. Les cellules sécrétant la MEC à l’origine des os sont les ostéoblastes qui deviennent des ostéocytes une fois que la MEC autour d’eux est minéralisée. Cette MEC est particulièrement riche en collagène de type I, le plus résistant à l’étirement.

Le cartilage est constitué de MEC non minéralisée, riche en collagène de type II, en GAG et en protéoglycanes de type aggrégane. Les cartilages dits élastiques sont enrichis en élastine (cartilage élastique du pavillon de l’oreille, de l’épiglotte…). L’élastine est une longue protéine riche en proline et en glycine (ce qui rappelle le collagène) avec une forte teneur en acides aminés hydrophobes responsables de son élasticité (on la trouve aussi dans la paroi des artères où elle joue un rôle important pour réguler le flux sanguin irrégulier en provenance du coeur).
Le cartilage joue un rôle important de soutien général (chez les Chondrichthyens) ou localisé (anneaux de cartilage permettant de maintenir ouverte la trachée artère, disques intervertébraux, cartilage hyalin des articulations). Il est produit par des chondrocytes dont le développement est contrôlé, entre autres, par le facteur de transcription Sox9 (Liu et al., 2017).


Les tissus squelettiques minéralisés sont considérés comme l’une des innovations majeures des vertébrés. Parmi les animaux existants, seuls les vertébrés Gnathostomes (à mâchoires) possèdent des tissus squelettiques minéralisés. Les vertébrés sans mâchoire (myxines et lamproies) n’ont que des endosquelettes cartilagineux. Les Chondrichtyens (requins, raies…) n’ont que du cartilage et pas d’os, par perte secondaire au cours de l’évolution.
Les tissus osseux peuvent être produits directement : c’est ce qu’on appelle l’ossification intramembranaire où les cellules mésenchymateuses se différencient en ostéoblastes et synthétisent la matrice extracellulaire osseuse. Cela concerne par exemple une bonne partie des os du crâne.

Les tissus osseux peuvent parfois succéder à du tissu cartilagineux. On parle alors d’ossification endochondrale. Elle concerne notamment les os longs des membres et les vertèbres. Lors de la croissance des os longs, c’est la prolifération des chondroblastes dans le cartilage dit de conjugaison qui rallonge l’os. Ces chondroblastes se différencient en chondrocytes et s’entourent d’une matrice extracellulaire riche en collagène II et en GAG. Puis les chondrocytes deviennent hypertrophiques et meurent par apoptose, laissant la place à du tissu osseux. Le taux d’augmentation de taille des chondrocytes hypertrophiques est étroitement corrélé à la vitesse de croissance des différents éléments squelettiques (Cooper et al., 2013).

Une version commentée de cette figure est disponible en vidéo.
Photo : Patrick Pla, à partir de la collection d’histologie de la Préparation à l’Agrégation SVTU, Université Paris-Saclay

Les chondrocytes hypertrophiques secrètent Indian Hedgehog (Ihh) qui induit la formation d’ostéoblastes dans le perichondrium (les cellules les plus périphériques du cartilage) en y activant l’expression de Runx2 (Saint-Jacques et al., 1999; Hoyle et al., 2022).

Il faut noter que certains chondrocytes hypertrophiques ne meurent pas et se transdifférencient en ostéoblastes qui deviennent des ostéocytes et participent à la formation de la MEC osseuse (Yang et al., 2014; Zhou et al., 2014).
Le facteur de transcription SOX9 joue un rôle clé dans la différenciation des chondrocytes mais aussi pour maintenir les cartilages de conjugaison après la naissance et pour protéger le cartilage articulaire adulte de la dégradation arthrosique. En particulier, SOX9 protège la lignée des chondrocytes en empêchant leur dédifférenciation en progéniteurs mésenchymateux squelettiques et leur redifférenciation en ostéoblastes (Haseeb et al., 2021).
La prolifération dans les cartilages de conjugaison prend fin, notamment sous l’influence de la signalisation FGF. Lors de l’achondroplasie qui aboutit à une forme de nanisme d’origine génétique, le récepteur FGFR3 présente une mutation ponctuelle (une arginine en position 380 au lieu d’une glycine) qui le rend actif trop tôt ce qui arrête prématurément la croissance des os longs (Savarirayan et al., 2021).
L’arthrose est causée par une dégénérescence du cartilage près des articulations. Cette dégradation est causée par une production élevée d’enzymes protéolytiques, telles que la métalloprotéase MMP13 et les aggrécanases, comme ADAMTS4 et 5. Elles dégradent des composants importants de la matrice du cartilage, tels que le collagène de type II (COL2A1) et l’aggrécane. On observe aussi l’expression de marqueurs de chondrocytes hypertrophiques (tel le collagène COL10A1), ce qui rappelle l’ossification endochondrale et il a été proposé que l’arthrose est une récapitulation ectopique pathologique de ce processus (Van den Kraan et Van der Berg, 2012).
Les signaux impliqués dans la chondrogenèse et l’ostéogenèse sont étudiés de près non seulement pour leurs aspects fondamentaux mais aussi pour des raisons thérapeutiques, à la recherche de traitements de réparation tissulaire. Par exemple, des cellules souches mésenchymateuses se transforment plus massivement en ostéoblastes exprimant Runx2 si l’inducteur BMP2 leur est présenté sur de la fibronectine, ce qui montre une action synergique des facteurs de croissance et de la MEC (Llopis-Hernandez et al., 2016).

La détermination et la différenciation des ostéoblastes est un processus activé notamment par le facteur de transcription Runx2.

SPARC (codant la protéine sécrétée acide et riche en cystéine) est un gène ancien trouvé à la fois chez les Protostomiens et les Deutérostomiens (Bertrand et al., 2013). Ses orthologues vertébrés sont exprimés dans le cartilage, les os et les dents, où ils peuvent se lier au calcium et agir comme protéine chaperons du collagène extracellulaire (Kawasaki et Weiss, 2005). Des membres spécifiques de la famille SPARC ont été dupliqués chez des vertébrés à mâchoires (les Gnathostomes) pour générer la famille de gènes des phosphoprotéines secrétées de liaison au calcium (SCPP), qui sont impliquées dans la formation de tissus hautement minéralisés, tels que la dentine et l’émail (Kawasaki et al., 2005). Ils ont donc un rôle important dans la minéralisation de la MEC.
Certains produits de gènes peuvent s’opposer à l’ostéogenèse tels le long ARN non codant (lncRNA) Hotair qui inhibe l’expression de ALPL et BMP2 qui favorisent l’ostéogenèse. Lorsqu’il y a une fracture, la voie Wnt/β-caténine est activée et diminue l’expression de Hotair, favorisant ainsi la régénération osseuse (Carrion et al., 2014).
De manière normale, la MEC osseuse est régulièrement renouvelée et ce sont les ostéoclastes qui se chargent de sa résorption. Les ostéoclastes sont des cellules d’origine hématopoïétique (lignée myéloïde) et multinucléées (par fusion cellulaire) qui accomplissent leur fonction en sécrétant des acides, de la collagénase, de la cathépsine K et des métalloprotéases (notamment MMP-9 et MMP-13) qui, ensemble, digèrent la MEC osseuse.


Les œstrogènes favorisent la différenciation précoce des ostéoblastes et inhibent l’activité des ostéoclastes (Farr et al., 2019). La diminution des niveaux d’œstrogènes après la ménopause augmente l’activité des ostéoclastes, diminue la densité osseuse, conduisant finalement à l’ostéoporose.
L’émail dentaire, le tissu le plus dur et le plus minéralisé du corps humain, est composé de réseaux parallèles de cristaux d’hydroxyapatite extrêmement longs et étroits appelés bâtonnets ou prismes d’émail, qui forment une structure complexe entrelacée. Cette caractéristique structurelle confère à l’émail à la fois une dureté élevée et une résistance importante à la rupture. La structure de l’émail est le produit de l’amélogenèse, un processus étroitement régulé par des cellules épithéliales spécialisées, appelées améloblastes, impliquant la sécrétion, l’auto-assemblage et le traitement protéolytique de protéines de la matrice extracellulaire de l’émail. Lors de la sécrétion de l’émail, chaque améloblaste forme un appareil sécrétoire hautement spécialisé appelé « prolongement de Tomes », responsable de la formation d’un bâtonnet ou prisme d’émail. Des mouvements hautement coordonnés des améloblastes au cours de la croissance appositionnelle de l’émail conduisent à la formation des motifs entrelacés. Les principales molécules de la MEC de l’émail sont l’amélogénine (AMELX) et, en quantité moindre, l’améloblastine (AMBN). Des mutations de ces molécules et d’autres molécules de la matrice extracellulaire ont été associées à des défauts génétiques de l’émail humain (Smith et al., 2017).
Pour vous tester sur les MEC cartilagineuses et osseuses
vous pouvez faire cet exercice.
Rôle d’organisation des tissus
Au cours des analyses histologiques des tissus animaux, on peut rencontrer différents types de tissus :
- épithélium (fortes interactions cellule-cellule + présence d’une lame basale)
- tissu conjonctif (interaction cellule-MEC prédominante)
- aéré : beaucoup de cellules (derme)
- dense : peu de cellules (tendon, cartilage, os)
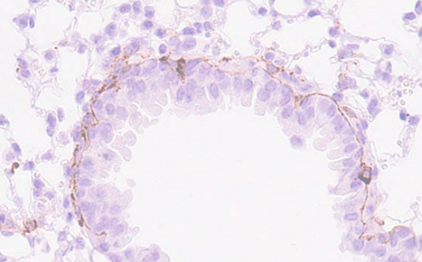
Les lames basales sont constituées de laminine, de collagène de type IV (collagène non en fibrille mais réticulé), et d’héparan sulfate protéoglycane. Leur épaisseur varie entre 60-100 nm. On trouve des lames basales au niveau basal des épithéliums, des endothéliums et autour des cellules musculaires.
Au niveau structural, elles permettent :
- L’attachement des cellules épithéliales au tissu conjonctif sous-jacent (rôle des hémidesmosomes qui lient la cellule à la lame basale)
- L’attachement des cellules musculaires striées les unes aux autres et la protection mécanique du tissu musculaire (la plupart des dystrophies musculaires prennent leur origine dans des défauts de protéines dont le rôle habituel est de correctement arrimer la cellule musculaire striée squelettique à la lame basale).
- La compartimentation tissulaire : les cellules épithéliales ne se mélangent pas avec les cellules conjonctives sauf cas pathologique (cellules tumorales issues d’un carcinome). Au cours du développement embryonnaire, certaines cellules épithéliales peuvent quitter leur épithélium d’origine et migrer (par exemple les cellules mésodermiques au cours de la gastrulation des Amniotes ou les cellules de crêtes neurales). Ces cellules qui réalisent une transition épithélio-mésenchymateuse doivent au préalable lyser la lame basale grâce à la sécrétion d’enzymes spécifiques (métalloprotéinases).
Parfois, la lame basale peut provoquer des contraintes mécaniques sur les tissus et changer leur forme comme lors de la maturation des ovarioles chez la drosophile femelle.

Rôle dans le transport, la signalisation et la migration des matrices extracellulaires
Rôle au cours de la fécondation
La zone pellucide est la matrice extracellulaire entourant l’ovocyte II, riche en glycoprotéines ZP1, ZP2, ZP3 et ZP4. Chez les Mammifères, elle est sécrétée par l’ovocyte I au stade pré-antral. Un spermatozoïde ne peut la traverser que s’il a franchi l’étape de la capacitation au préalable. La zone pellucide joue un rôle dans la fixation du spermatozoïde et le déclenchement de la réaction acrosomiale. Cette réaction permet la sécrétion d’acrosine qui digère la zone pellucide, créant un passage pour le spermatozoïde. La zone pellucide participe à la barrière d’espèces. Une fois que la fécondation a eu lieu, les granules corticaux de l’ovocyte sont exocytés et des enzymes clivent les protéines ZP1, ZP2 et ZP3. Cela constitue une protection contre la polyspermie.
Voir aussi cette page sur la zone pellucide.
Les intégrines, à l’interface entre la MEC, le cytosquelette et les voies de signalisation
Chez les animaux, les molécules de la MEC servent de ligands à des récepteurs sur la membrane plasmique appelés intégrines. Les intégrines sont une famille de protéines transmembranaires constituées de deux sous-unités, désignées α et β, avec des combinaisons de 18 sous-unités α et 8 sous-unités β formant 24 intégrines (toutes les combinaisons α/β ne sont pas possibles). Les intégrines reconnaissent des motifs spécifiques qui sont présents dans les diverses molécules de l’ECM. Le motif le plus commun est la séquence RGD que l’on trouve dans la fibronectine, la vitronectine, l’ostéopontine et la nephronectine.

La liaison des intégrines à leur ligand modifie la conformation de l’hétérodimère tant dans leur domaine extracellulaire qu’intracellulaire.

En plus d’attacher les cellules à la MEC, les intégrines servent d’ancrage indirect pour le cytosquelette. Il en résulte un lien du cytosquelette à la MEC qui est responsable de la stabilité des jonctions cellule-matrice. De par cette position particulière, les intégrines sont soumises à plusieurs forces mécaniques et peuvent être considérées comme des senseurs biomécaniques tant de l’environnement de la cellule que des tensions internes en provenance du cytosquelette.
Les hémidesmosomes qui relient les cellules épithéliales à la lame basale sont formés par l’intégrine α6β4 et sont reliés aux filaments intermédiaires (et non aux microfilaments d’actine comme c’est plus habituellement le cas).
Rôle de la MEC dans la prolifération et la survie
L’interaction des intégrines avec les protéines de la MEC active des voies de signalisation qui favorisent la survie et la progression du cycle cellulaire (Fiore et al., 2018). Par exemple, dans l’épiderme, les cellules souches qui prolifèrent le plus expriment également le plus d’intégrine β1 (Jones et Watt, 1993).

Cette interaction peut agir en synergie avec celle des facteurs de croissance et de leurs récepteurs pour activer les voies qui stimulent la prolifération : PI3kinase/Akt et MAPK/Erk (Moreno-Layseca et al., 2014). Des régulations croisées peuvent avoir lieu : par exemple dans les cellules épithéliales de glande mammaire, l’expression des récepteurs à l’EGF (EGFR) dépend de l’activation de l’intégrine β1 par la MEC et l’expression de l’intégrine β1 est sous le contrôle des voies de signalisation activées par EGFR (Grassian et al., 2011). Les interactions intégrines-MEC aboutissent aussi à diminuer l’expression des facteurs anti-mitotiques tels que p27 et p21 (Li et al., 2005).


Les voies de signalisation activées par les facteurs de croissance et les intégrines peuvent aussi interagir différemment : ces voies de signalisation peuvent activer des intégrines initialement inactives via le recrutement de la taline (une voie appelée inside-out, de l’intérieur vers l’extérieur, qui est en contraste avec la voie habituelle des intégrines activées par la MEC (outside-in)). Des intégrines actives qui interagissent avec la MEC peuvent alors en retour activer des voies de signalisation qui renforcent l’effet des facteurs de croissance comme on l’a vu plus haut. Tout cela correspond à une boucle de rétroaction positive.

FAIRE UN EXERCICE SUR LA REGULATION INSIDE-OUT
La MEC a aussi un rôle dans le réveil des cellules quiescentes en G0 et leur ré-entrée dans le cycle cellulaire. Par exemple, les lésions des muscles squelettiques (mêmes distantes) induisent la libération du facteur de croissance des hépatocytes (HGF) de la MEC environnante, ce qui amorce la prolifération des cellules souches musculaires (Rodgers et al., 2017).

Le HGFA active circule alors dans le sang et catalyse le clivage du pro-HGF en HGF actif dans les tissus de tout le corps. Le pro-HGF était stocké notamment dans la MEC à proximité des cellules souches musculaires (MuSC) appelées aussi cellules satellites. Transformé en HGF actif, il va se lier au récepteur c-Met à la surface de ces cellules et les sortir de leur quiescence et les rendre prêtes à proliférer en cas de besoin. Source : https://www.cell.com/cell-reports/pdf/S2211-1247(17)30427-8.pdf
Une cellule épithéliale doit rester accrochée à sa lame basale sinon elle meurt par apoptose (phénomène d’anoikis). Il s’agit d’un processus physiologique normal d’homéostasie tissulaire. Par exemple, dans l’épithélium intestinal, lorsque les entérocytes atteignent le sommet des villosités, elles se détachent de la lame basale et subissent une anoikis. Les chondrocytes sont également dépendants de la MEC pour leur survie. Si on incube des chondrocytes en culture avec des anticorps qui bloquent la fonction des intégrines, ils se détachent de la MEC, rétrécissent et meurent. La signalisation initiée par l’interaction MEC/intégrine a un rôle dans la survie et la suppression de l’apoptose via la voie de signalisation PI3kinase-Akt, l’augmentation de la transcription de Bcl2 (qui s’oppose à l’apoptose) et, dans certains cas, l’inhibition de la voie p53. L’activation de Akt inhibe à plusieurs niveaux le programme d’anoikis : par l’inactivation de la caspase-9, par la phosphorylation de la protéine pro-apoptotique Bad et par l’activation de NF-κB (Taddei et al., 2011). Lors de l’anoikis, tous ces mécanismes protecteurs cessent de fonctionner et la protéine JNK est alors un activateur majeur de l’apoptose (Valencia-Exposito et al., 2022).

La résistance à l’anoikis est une des propriétés fondamentales des cellules tumorales métastatiques provenant de cellules épithéliales.

Les mécanismes qui permettent aux cellules tumorales d’échapper à l’anoikis commencent à être compris (voir par exemple Mohammed et al., 2022).
Rôle dans la détermination et la différenciation
La manipulation de la rigidité de la MEC peut modifier la différenciation cellulaire comme cela a été montré lors de la différenciation des cellules ES : un substrat trop rigide diminue la différenciation en mésoderme (Przybyla et al., 2016). Cet effet de la MEC a aussi été démontré à plus grande échelle avec des cellules souches mésenchymateuses, des cellules satellites musculaires et durant la différenciation des cardiomyocytes (Smith et al., 2017).

A : Des cellules souches mésenchymateuses déposées sur des gels de collagène (appelé après substrat) avec une rigidité indiquée (exprimée en microélasticité, matrice molle à gauche et rigide à droite) se différencient durant une semaine. Les gels mous dirigent la différenciation en adipocytes, tandis que les gels plus rigides induisent la différenciation en ostéoblastes. B : la rigidité du substrat détermine le type de prolifération des cellules souches musculaires satellites : les substrats avec une rigidité semblable au tissu musculaire naturel conservent souvent les propriétés des cellules souches (définies par l’expression de Pax7), tandis que les substrats rigides épuisent le pool de cellules souches en induisant la différenciation des deux cellules filles (définies par l’expression de MyoD). C : les progéniteurs musculaires finissent par se différencier et fusionner en fibres musculaires multinucléées remplies de sarcomères contractiles. La formation de sarcomères est plus efficace sur une MEC à la rigidité semblable à celle d’un tissu musculaire normal, alors qu’une rigidité au-dessus ou en dessous de ce niveau conduit à une altération de la formation des sarcomères. D : Des cardiomyocytes immatures sont dérivés à partir de cellules souches embryonnaires sur un substrat mou. À mesure que le cœur se développe, le substrat devient plus rigide et les cardiomyocytes deviennent plus alignés et contractiles. Cependant, dans un cœur fibreux plus rigide, la contraction des cardiomyocytes est altérée. Alternativement, les iPSC peuvent être induites à former des cardiomyocytes sur du plastique (substrat très rigide); cependant, ces cardiomyocytes ne sont pas capables de produire la force contractile d’un cardiomyocyte mature sain. Source : https://journals.physiology.org/doi/full/10.1152/physiol.00026.2017
La MEC peut constituer un co-signal nécessaire pour l’action d’autres molécules. Si on cultive in vitro des cellules épithéliales mammaires sur du collagène ou de la laminine en présence de prolactine, les cellules s’organisent en acinus, se différencient et produisent des protéines et des lipides spécifiques du lait. Sans MEC, cette différenciation n’a pas lieu. On constate une hausse de la transcription du gène codant la β-caséine et du gène codant WAP (Whey Acidic Protein) par le facteur de transcription AP1 en présence de MEC et une hausse de l’expression des récepteurs aux œstrogènes (Muschler et al. 1999; Novaro et al. 2003).

Source : https://www.molbiolcell.org/doi/full/10.1091/mbc.10.9.2817
Cet exemple n’est pas isolé et la signalisation provenant des intégrines peut donc contrôler la différenciation cellulaire via l’activation de la transcription de gènes spécifiques.
Chez la drosophile, le collagène IV se lie à Dpp (un orthologue des BMP) et améliore ses interactions avec les récepteurs de ce ligand. Cette interaction collagène/Dpp est cruciale dans la régulation de l’axe dorsoventral et du nombre de cellules souches germinales dans l’ovaire, deux processus qui dépendent des gradients de Dpp (Wang et al., 2008).
La bonne différenciation des structures épithéliales tubulaires dépend en grande partie de la membrane basale de ces épithélia comme par exemple la formation des trachées chez la drosophile. Leur forme et leur longueur dépend de la présence de la laminine dans leur lame basale (Klussmann-Fricke et al., 2022).

De nombreux événements morphogénétiques de l’embryogenèse sont coordonnés par des contractions musculaires, tels que l’allongement de l’embryon chez C. elegans et la squelettogenèse chez le poisson zèbre, la souris, le poulet et d’autres vertébrés. Au cours de ces processus, les informations mécaniques des fibres musculaires sont relayées via les adhérences matrice-muscle et transmises à travers les tissus par les jonctions cellule-matrice et cellule-cellule. Notamment, les embryons de C. elegans s’appuient sur la MEC pour coordonner la communication entre les tissus musculaires, épidermiques latéraux et épidermiques dorsaux/ventraux (Gillard et al., 2019). Les signaux mécaniques générés par les contractions musculaires sont transmis vers et entre les cellules épidermiques via la MEC et les jonctions adhérentes. Lorsque des mutations fonctionnelles modifient les protéines d’adhérence matrice-muscle (par exemple, NOAH-1 et NOAH-2), les contractions musculaires ne peuvent pas transmettre de signaux à travers la MEC, les fibres d’actine intracellulaire ne parviennent pas à se polariser, les cellules s’orientent de manière inadéquate le long de l’axe antéro-postérieur de l’embryon et cela a pour conséquence un arrêt du processus d’élongation de C. elegans (Vuong-Brender et al., 2017).
La protéine de la MEC appelée anosmine est requise pour la formation des cellules de crêtes neurales crâniales. C’est la conséquence du fait que le dépôt local d’anosmine améliore la signalisation FGF8 tout en limitant les signaux BMP5 et Wnt3a (Endo et al., 2012). Ces résultats montrent comment une seule protéine de la MEC peut coordonner plusieurs activités de divers ligands pour affecter la destinée d’un groupe de cellules.
Rôle dans la migration
L’inactivation par recombinaison homologue (knock-out) de la fibronectine chez la souris aboutit à de graves défauts mésodermiques liés à la perturbation de la migration au cours de la gastrulation. La MEC (et notamment la fibronectine) est donc essentielle pour la migration cellulaire. Une autre démonstration en est apportée sur des embryons d’Amphibiens avec l’action d’anticorps anti-intégrine ou aussi de peptides RGD(S) (Arg-Gly-Asp(-ser)) (qui se fixent sur les intégrines sur le domaine de fixation habituel à la fibronectine et empêchent l’interaction intégrine-fibronectine). Cela provoque un blocage de l’involution et de la migration du mésoderme au cours de la gastrulation. Des études complémentaire ont montré que les cellules du mésoderme utilisent l’intégrine α5β1 pour adhérer et migrer directionnellement sur la matrice de fibronectine qui se trouve sur le toit du blastocœle.
Les cellules de crêtes neurales ont également besoin de fibronectine pour migrer.

Des criblages génétiques à grande échelle chez le poisson zèbre ont identifié plusieurs mutations interférant avec les mouvements de convergence-extension lors de la gastrulation, notamment knypek (kny, pour « court » en polonais ; Solnica-Krezel et al. 1996). Les mouvements défectueux de convergence-extension chez les mutants kny sont associés à l’échec des cellules mutantes à acquérir une morphologie cellulaire polarisée médio-latéralement. Le clonage positionnel indique que kny code un glypicane, un protéoglycane de sulfate d’héparane (HSPG) largement exprimé au cours de la gastrulation. Kny est liée à la signalisation Wnt non canonique car elle améliore la signalisation Wnt11 qui active la voie non canonique Wnt/PCP (Topczewski et al., 2001).
La MEC peut contrôler la migration en modulant les réponses des cellules à des voies de signalisation. Ainsi, la fibronectine (FN) et la vitronectine (VN) modulent les réponses des cellules endothéliales au HGF (Scatter Factor), un important médiateur pro-angiogénique dont le récepteur est Met. De nombreux sites de liaison pour HGF ont été identifiés sur la FN et sur la VN. HGF stimule la migration et la prolifération des cellules endothéliales mais en l’absence de co-stimulation avec une FN ou VN, HGF ne peut stimuler la migration des cellules comme il le fait habituellement mais conserve sa capacité à induire une réponse proliférative en utilisant la voie MAPKinase. En favorisant l’association du récepteur Met et des intégrines, les complexes HGF-FN et HGF-VN activent la migration des cellules endothéliales grâce à la voie PI-3 kinase impliquant un mécanisme dépendant de Ras (Rahman et al. 2005)

Le guidage axonal peut être considéré comme un cas particulier de migration avec le corps cellulaire qui ne bouge pas et seulement l’avant de l’axone qui se déplace (cône de croissance). La MEC est également impliquée de manière importante dans le guidage axonal.

- Action au niveau cellulaire
Les intégrines lient la MEC et forment des agrégats appelés points focaux d’adhérence. Ces derniers servent de points d’appui (de béquilles) à la cellule lors de ses déplacements. Ces points focaux d’adhérence sont reliés au cytosquelette d’actine qui agit sur la migration via une interaction avec la myosine-II. Ces points d’adhérence sont transitoires lors de la migration sinon la cellule ne pourrait avancer plus loin. Une cascade de signalisation permet de mettre en place puis de détruire les points focaux d’adhérence : elle est sous la dépendance de FAK, une tyrosine kinase activée par les intégrines.



Les intégrines sont des hétérodimères composés de sous-unités α et β. Elles assurent la liaison entre la MEC et le cytosquelette d’actine à l’intérieur de la cellule. La taline (en jaune) relie directement les intégrines au cytosquelette d’actine. Elle joue un rôle crucial dans l’activation des intégrines et la transmission des forces mécaniques. La vinculine (en rouge) recrute d’autres protéines, telles que la paxilline (non représentée ici) , et renforce la liaison entre la taline et l’actine, stabilisant ainsi l’adhésion focale.
L’α-actinine (en rouge) se lie à l’actine et contribue à l’organisation des filaments d’actine en faisceaux parallèles, formant ainsi des fibres de tension (ou de stress). Source : https://www.axopub.com/wp01/2012/02/26/download-cells-molecules-and-mechanisms/
Signalons que les kindlines jouent un rôle complémentaire à la taline dans la formation des points focaux d’adhérence. Elles interagissent surtout avec les intégrines β. Des intégrines mutées incapables d’interagir avec la kindline présentent un défaut d’immobilisation dans les points d’adhérence révélant son rôle structural dans la stabilisation des clusters d’intégrines (Orré et al., 2021).

Observation en microscopie à fluorescence d’une cellule immunomarquée pour Kindline-2 (en rouge) et avec les filaments d’actine marqués par la phalloïdine (couplée à un fluorophore vert). Kindline-2 est une protéine associée aux points d’adhréence focaux. Source : https://journals.biologists.com/jcs/article/124/6/879/32173/Kindlin-2-regulates-podocyte-adhesion-and et cité dans https://theses.fr/2017BORD0824
La rigidité de la MEC a une influence importante sur le nombre de points focaux d’adhérence, les protéines qui y sont associées et la répartition du cytosquelette.

Pour vos tester, vous pouvez faire
cet exercice sur la migration et la MEC.
Vous trouverez plus de détails sur la migration dans ce chapitre.
Remodelage et lyse des MEC
Des approches d’imagerie dynamique avec des molécules de la MEC marquées par fluorescence ou des protéine-fusion avec la GFP ont démontré que les réseaux de MEC sont des structures hautement dynamiques qui sont soumises à un étirement et à une contraction constante ainsi qu’à une réorganisation médiée par les cellules et le mouvement des tissus (Czirok et al., 2004; Loganathan et al., 2016; Sivakumar et al., 2006).
Parmi les principales protéases qui participent à ces processus pour permettre le remodelage tissulaire et l’invasion cellulaire, on trouve les métalloprotéinases matricielles (MMP). Les MMP appartiennent à une superfamille de protéases caractérisées par la présence d’un ion Zn2+ dans leur domaine catalytique qui est requis pour leurs fonctions protéolytiques. Elles sont trouvées dans tous les organismes, et cette superfamille comprend également des protéases telles que les ADAM (A Disintegrin And Metalloproteinase), les serralysines et les astacines. Un sous-groupe au sein de la famille des MMP est formé par les métalloprotéinases matricielles de type membranaire (MT-MMP), ancrées à la membrane plasmique par un domaine transmembranaire de type I (MT1-MMP/MMP-14, MT2-MMP/MMP-15, MT3-MMP/MMP-16 et MT5-MMP/MMP-24) ou une ancre glycosylphosphatidylinositol (GPI) (MT4-MMP/ MMP-17 et MT6-MMP/MMP-25). Plusieurs MT-MMP sont exprimées dans des tissus normaux jouant un rôle dans l’homéostasie, mais la plupart d’entre elles sont induites dans des maladies ou des tissus en inflammation. Bien que la plupart de nos informations actuelles concernant ces enzymes proviennent d’études sur le cancer, la première MMP identifiée, la collagénase, a été trouvée dans la résorption de la queue des têtards pendant la métamorphose des Amphibiens Anoures. Son expression est activée par des hormones thyroïdiennes. D’autres membres de ces endopeptidases ont été aussi impliqués dans la résorption de la queue au cours de la métamorphose de la grenouille, notamment MMP-2, MMP-9, MMP-11, MMP-13 et MMP-18.
LA CARTE MENTALE :

DES MOTS CROISES POUR S’ENTRAINER

JOUEZ A « TROUVEZ LA PROTEINE » A PARTIR D’INDICES
VOIR LES EXERCICES SUR LES MATRICES EXTRACELLULAIRES
EN DIRECT DES LABOS :
EQUIPES DE RECHERCHE FRANCOPHONES QUI TRAVAILLENT SUR LE SUJET :
Biologie et pathologie des matrices extracellulaires – IGFL Lyon
LIEN VERS LE GLOSSAIRE SPECIFIQUE A LA MATRICE EXTRACELLULAIRE
LIEN VERS LE GLOSSAIRE GENERAL
- Adhérences cellule-cellule
- Arabidopsis thaliana
- Axe antéro-postérieur chez la drosophile
- Biomécanique du développement
- Caenorhabditis elegans
- Concepts principaux
- Contrôle de la traduction
- Contrôle de la transcription
- Contrôle génétique et épigénétique
- Croissance du tube pollinique et double fécondation chez les Angiospermes
- Croissance et guidage axonal
- Des modèles animaux moins classiques
- Développement de l’oeil des Vertébrés
- Développement et évolution
- Et l’Humain ?
- Exercices sur l’ovogenèse, la spermatogenèse et la fécondation
- Exercices sur le contrôle de l’expression des gènes
- Exercices sur le développement des bourgeons de membre
- Exercices sur le développement des muscles striés squelettiques
- Exercices sur le développement des végétaux et les hormones végétales
- Exercices sur les cycles et les divisions cellulaires
- Exercices sur les étapes du développement, les inductions embryonnaires et la mise en place des axes de polarité
- Exercices sur les matrices extracellulaires, le cytosquelette et les adhérences cellule-cellule
- Exercices sur les voies de signalisation
- Glossaire
- Glossaire des termes liés à la génétique
- Glossaire des termes liés au cytosquelette, la matrice extracellulaire, l’adhérence et la migration cellulaire
- Hématopoïèse et développement des cellules du système immunitaire
- Histoire de la biologie cellulaire et de la biologie du développement
- L’acide rétinoïque
- L’apoptose
- L’autophagie
- L’organogenèse
- L’ovogénèse prépare le développement embryonnaire
- La drosophile
- La fécondation
- La formation des somites
- La gastrulation
- La gastrulation (version allégée)
- La métamorphose chez les Hexapodes et les Amphibiens
- La neurogénèse chez les mammifères adultes
- La neurulation
- La poule
- La signalisation calcique
- La souris
- La superfamille TGFβ et ses voies de signalisation
- La voie de signalisation de l’auxine et ses rôles
- La voie de signalisation Hedgehog
- La voie de signalisation Hippo et ses composants YAP/TAZ
- La voie de signalisation Notch
- Le clivage
- Le cytosquelette
- Le destin des cellules et les réseaux de régulation génique
- Le développement des bourgeons de membre
- Le développement des muscles striés squelettiques
- Le développement des organes génitaux et des cellules germinales
- Le développement du cortex
- Le méristème apical caulinaire en phase végétative et lors de la formation d’une fleur
- Le poisson zèbre
- Le xénope
- Les cellules des crêtes neurales
- Les cellules et les gènes en action dans le développement
- Les cellules souches
- Les cellules tumorales
- Les cycles et les divisions cellulaires
- Les étapes du développement
- Les étapes du développement embryonnaire d’Arabidopsis thaliana et leur contrôle
- Les inductions embryonnaires et les gradients de morphogène
- Les organismes modèles
- Les outils pour étudier l’expression et la fonction des gènes
- Les parois des cellules végétales
- Les techniques et les outils pour la biologie cellulaire
- Les transitions épithélio-mésenchymateuses et les migrations cellulaires
- Les vésicules extracellulaires
- Les voies de signalisation
- Les voies de signalisation FGF
- Mise en place des axes chez les Vertébrés
- Structures et processus cellulaires
- Voies de signalisation WNT
