GLOSSAIRE

Les cellules des crêtes neurales

Par Patrick Pla, Université Paris-Saclay

*Cellules des crêtes neurales entre le futur épiderme et le tube neural. Notez la matrice extracellulaire qui entoure les cellules des crêtes neurales. Image d’une coupe transversale d’embryon de poulet vue en microscopie électronique à balayage donnée par Eric Thévenau, CBI Toulouse
*Migration des crêtes neurales céphaliques chez le xénope. On observe très bien la formation des quatres faisceaux de migration.
  1. Généralités
  2. Développement de la bordure neurale et émergence des CCN en son sein
  3. Transition épithélio-mésenchymateuse et migration des cellules des crêtes neurales
  4. Multipotence et détermination des CCN
  5. Développement d’une sélection de lignages
    1. Les ganglions de la racine dorsale (ou ganglions spinaux)
    2. Le système nerveux entérique
    3. Les mélanocytes
    4. Le squelette cranio-facial
  6. Différenciation in vitro des cellules de crêtes neurales à partir de cellules pluripotentes humaines

Généralités

En 1868, Wilhelm His a décrit une bande étroite de cellules, initialement situées du côté dorsal entre le tube neural et le futur épiderme. Il avait remarqué que ces cellules donnent naissance aux ganglions rachidiens. His avait raison mais il a largement sous-estimé la diversité des cellules que peuvent produire ces cellules des crêtes neurales (CCN).

En effet, les CCN colonisent diverses régions de l’embryon au cours du développement et contribuent à la formation de multiples tissus et organes. Des techniques variées de marquage et de lignage cellulaire ont été utilisées pour le démontrer, notamment les greffes caille-poulet.

*Les greffes caille-poulet pour suivre la migration et le devenir des cellules de crêtes neurales. Une portion du tube neural d’un embryon de poulet a été remplacée par la même portion d’un embryon de caille du même âge. Après quelques heures où on laisse l’embryon chimérique se développer, on fixe l’embryon et on réalise des coupes soumises à la coloration Feulgen. Les cellules de caille ont un nucléole plus foncé dans le noyau que les cellules de poulet avec cette coloration. On observe que des cellules de caille (flèches) s’échappent du tube neural et migrent à travers l’embryon de poulet : ce sont les cellules de crêtes neurales. On peut aussi utiliser un anticorps QCPN qui reconnaît un antigène dans les cellules de caille qui est absent dans les cellules de poulet. Source : https://www.sciencedirect.com/science/article/pii/S0925477304001625

Les CCN peuvent se différencier en une variété de lignées : en mélanocytes, en ostéocytes et chondrocytes du squelette céphalique, en muscles lisses des vaisseaux partant du cœur, en neurones et cellules gliales (cellules de Schwann) du système nerveux périphérique (comportant le système nerveux entérique, sympathique et parasympathique mais aussi des récepteurs sensoriels dans la peau par exemple), en cellules endocrines de la médullosurrénale (et cette liste n’est pas exhaustive).

*Les types cellulaires dérivés des crêtes neurales. Source : https://theses.hal.science/tel-05100999
*Les cellules de Schwann sont un des dérivés des cellules des crêtes neurales et forment des gaines de myéline autour des neurones dans le système nerveux périphérique. Elles ont des propriétés différentes par rapport aux oligodendrocytes qui ne sont pas dérivées des CCN (mais dérivées des cellules souches neurales restées dans le tube neural) et qui forment des gaines de myéline dans le système nerveux central. Source : https://www.tumblr.com/blog/view/celluloyd

La diversité des structures produites ainsi que le fait que ces types cellulaires proviennent habituellement de 2 feuillets embryonnaires (ectoderme et mésoderme) indique clairement que les CCN sont des cellules multipotentes (Ishii et al., 2012). On peut même les considérer comme un quatrième feuillet spécifique des Vertébrés qui est le seul phylum où on peut les trouver (même si on trouve des cellules apparentées chez les Cordés non vertébrés).

*Multipotence d’une population de cellules des crêtes neurales céphaliques (A) On prélève la tête d’embryons de souris Wnt1-Cre ; R26R-GFP à E8,5 qui expriment la GFP sous le contrôle du promoteur de Wnt1 qui est, à ce stade, exprimé dans les CCN juste avant leur migration. On dissocie les cellules et après une période de culture in vitro de 3 jours, les cellules fluorescentes sont sélectionnées par FACS et mises à cultiver sur des boîtes de Pétri recouvertes de Matrigel avec un milieu basal. (D–G) La CCN céphalique se différencie en plusieurs lignées cellulaires : en ostéoblastes (coloration au rouge alizarine) (D), chondrocytes (coloration au bleu alcian) (E), cellules musculaires lisses (F) et cellules gliales (G) (immunofluorescence avec les anticorps contre les protéines indiquées).
Un commentaire détaillé de cette figure est disponible en vidéo.
Source : https://www.ncbi.nlm.nih.gov/pmc/articles/PMC3495126/

Outre leur multipotence, les CCN présentent aussi des propriétés d’auto-renouvellement ce qui permet de les ranger dans la catégorie des cellules souches (Trentin et al., 2004, Thomas et al., 2008). Des protocoles ont été développés pour maintenir ces capacités de cellules souches (et la multipotence) dans des CCN en culture (voir par exemple Keruoso et al., 2015).

**Production et maintien in vitro de crestosphères. Des régions dorsales de tubes neuraux (avant que les CCN n’émigrent) sont disséquées à partir d’embryons de poulet et placées dans un milieu qui favorise le développement de CCN en suspension et qui forment des sphères (crestosphères). Elles peuvent être aussi obtenues à partir de cellules ES (ou iPS) humaines que l’on fait se développer en CCN à la suite d’un protocole particulier. Les crestosphères peuvent être maintenues in vitro sur plusieurs semaines et elles expriment des marqueurs « classiques » de CCN (en bleu clair). On peut ensuite les faire différencier in vitro ou in vivo en divers dérivés des CCN. Source : https://www.sciencedirect.com/science/article/pii/S2213671115002519

Historiquement, quatre sous-populations de CCN ont été identifiées selon leur localisation initiale le long de l’axe antéro-postérieur de l’embryon :

  • céphalique (en amont des somites)
  • vagal (somites 1 à 7),
  • troncal (somites 8 à 28 chez le poulet et 8 à 24 chez la souris)
  • sacré (postérieur à somites 28 chez le poulet et 24 chez la souris)

A part les mélanocytes qui sont générés quel que soit le niveau de l’axe antéro-postérieur, les CCN ne donnent pas les mêmes dérivés selon leur position. Par exemple, seules les CCN céphaliques donnent naissance à du tissu osseux et cartilagineux et seules les CCN vagales (et pour une petite part les CCN sacrées) donnent naissance au système nerveux entérique.

*Carte des dérivés des crêtes neurales selon leur position sur l’axe antéro-postérieur. Les différents types cellulaires produits par les CCN à différents niveaux antéropostérieurs sont représentés dans des embryons de poulet au stade 7 somites (à gauche) et 28 somites (à droite), car les CCN céphaliques émergent plus tôt au cours du développement que les CCN plus postérieures. La région qui donne naissance au mésectoderme (vert) (notamment les tissus cartilagineux et osseux de la tête) s’étend du niveau du diencéphale moyen jusqu’au rhombomère (r) 8 (correspondant à 4ème somite (S4). Les mélanocytes (gris) sont produits sur toute la longueur de l’axe. Les ganglions parasympathiques (jaune) dérivent de la CN mésencéphalique. Les ganglions entériques (orange) proviennent de la CN vagale (S1-S7) et lombosacrée (postérieure à S28). Postérieurement à S4, la CN du tronc produit les ganglions sympathiques (rouge), tandis que les ganglions sensoriels (bleu foncé) sont générés par la CN mésencéphalique et par la CN des niveaux rhombencéphaliques postérieurs à lombosacré. Les cellules endocrines (violet) proviennent des CN des niveaux S2-S4 et S18-S24.
Source : https://journals.biologists.com/dev/article/131/19/4637/42419/Neural-crest-cell-plasticity-and-its-limits

Signalons que parmi les CCN initialement désignées comme vagales, se trouvent une sous-population particulières appelées CCN cardiaques. Ces cellules apparaissent depuis le niveau de la vésicule otique jusqu’au niveau du 3ème somite et constituent la seule sous-population de la crête neurale qui contribue au système cardiovasculaire. Ces cellules migrent dans les arcs pharyngiens 3, 4 et 6, à partir desquels un sous-ensemble de cellules migre dans la voie d’éjection cardiaque, au sein de laquelle elles se condensent pour former le septum aortico-pulmonaire (Snider et al., 2007). Elles participent aussi à la formation de certaines valves cardiaques (Odelin et al., 2018). Certaines cellules migrent encore plus loin dans les ventricules et forment certains cardiomyocytes (Tang et al., 2019).

*Des cellules de crêtes neurales deviennent des cardiomyocytes dans le ventricule chez la souris. Le ventricule de souris transgéniques Wnt1-mGFP exprimant la GFP sous le contrôle des séquences régulatrices de Wnt1 (outil permettant de marquer les CCN) a été analysé en fluorescence après un immunomarquage avec un anticorps reconnaissant la troponine T (TropT), un marqueur de cardiomyocyte. Le DAPI marque les noyaux. Source : https://elifesciences.org/articles/47929

La comparaison de l’expression des gènes dans les CCN céphaliques et troncales de la lamproie, qui est un vertébré sans mâchoires parasite, avec celle d’embryons de poulet a montré qu’alors que le poulet possède un sous-réseau de régulation génétique pour les CCN céphaliques qui est en bonne partie spécifique par rapport aux CCN troncales, les CCN céphaliques de la lamproie n’ont pas ce réseau céphalique et ressemblent plus aux CCN troncales du poulet (Martik et al., 2019). Fait intéressant, le réseau de régulation génétique céphalique semblent avoir été progressivement enrichis en gènes et en complexité à mesure que les vertébrés ont évolué. Cela suggère que la crête neurale ancestrale des vertébrés sans mâchoire existe dans un état ressemblant à un tronc primitif et que l’ajout progressif de nouveaux gènes et la complexification du réseau au niveau céphalique au cours de l’évolution des vertébrés a graduellement conféré à la crête neurale la capacité de former l’os et le cartilage de la mâchoire inférieure.

Le développement des CCN est contrôlé par de nombreux événements fondamentaux : la détermination du territoire multipotent « crête neurale » au sein de la bordure neurale, la transition épithélio-mésenchymateuse (EMT), la restriction de la pluripotence, la prolifération, la survie, la migration et la différenciation. Comment tous ces processus cellulaires sont coordonnés dans le temps et aussi dans l’espace de l’embryon que les CCN envahissent ?

Des anomalies du développement des CCN, d’origine génétique et/ou environnementales, aboutissent aux neurocristopathies, aussi diverses que peuvent l’être les dérivés des CCN (Etchevers et al., 2019).

Développement de la bordure neurale et émergence des CCN en son sein

Lors de la neurulation, l’ectoderme se sépare en différentes parties : une partie neurale, une partie épidermique et chez les Vertébrés, une partie intermédiaire entre les deux appelée la bordure neurale. La partie neurale devient le tube neural générant la moelle épinière et le cerveau et la bordure neurale donne naissance aux cellules de crêtes neurales et aux placodes (Pla et Monsoro-Burq, 2018).

La détermination de ces structures dans l’ectoderme provient du contrôle de l’activité de la voie BMP dans ses cellules : une forte activité de la voie BMP aboutit à la formation d’épiderme, une activité intermédiaire à la formation de la bordure neurale et une activité faible à la formation du tube neural. Le contrôle de la voie BMP provient essentiellement de la capture des ligands BMP (produits essentiellement ventralement) par des protéines secrétées provenant de l’organisateur de Spemann/nœud de Hensen qui est dorsal : chordine, noggin et follistatine (Marchant et al., 1998). D’autres voies de signalisation sont également nécessaires, notamment Wnt en provenance du mésoderme paraxial et de l’ectoderme non neural et les FGF exprimés dans le mésoderme paraxial (Pla et Monsoro-Burq, 2018).

*La signalisation BMP, Wnt et FGF à l’origine de l’induction de la bordure neurale. D’après https://journals.biologists.com/dev/article/139/22/4220/45624/BMP-Wnt-and-FGF-signals-are-integrated-through

Les gènes précoces exprimés dans la bordure neurale sont entre autres Pax3, Zic1 et Msx1 (Baker et al. , 1997; Marchant et al., 1998; Pla et Monsoro-Burq, 2018). Une fois que les gènes sont activés par les voies de signalisation, ils renforcent mutuellement leurs expressions. Par exemple, l’expression de Tfap2a et de Pax3 est activée directement par la voie canonique Wnt mais Tfap2a peut aussi activer directement l’expression de Pax3 et peut compenser une inhibition de la voie Wnt (de Crozé et al., 2011).

**Expression de gènes sélectionnés au cours du développement précoce de la bordure neurale du xénope. Expression de certains des marqueurs les plus couramment utilisés pour l’ectoderme non-neural, la bordure neurale et le tube neural. Rangée supérieure : vues dorsales d’embryons de xénope au stade de la plaque neurale (stade 14, Nieuwkoop et Faber, 1994), traités par hybridation in situ  : Pax3, Zic1 et Msx1 sont exprimés à la bordure neurale, l’expression de Six1 délimite l’ectoderme préplacodal qui donne naissance aux placodes, Sox2 est exprimé dans la plaque neurale et Epk marque l’ectoderme non neural. Notez le chevauchement partiel entre Pax3 et Sox2 dans la plaque neurale latérale correspondant à la future partie dorsale du tube neural ; et aussi le chevauchement de Zic1 et Six1 dans l’ectoderme préplacodal. Barre d’échelle : 500 µm. Rangée inférieure : Coupes transversales d’embryons de xénope au stade 14 traités par hybridation in situ pour les gènes indiqués. Pax3, Zic1 et Hes4 sont exprimés dans la bordure neurale, Sox2 est exprimé dans la plaque neurale avec une chevauchement partiel avec Pax3 dans la plaque neurale latérale et Epk est exprimé dans l’ectoderme non neural. Barre d’échelle : 100 µm. Source : Pla et Monsoro-Burq, 2018

La co-immunolocalisation de marqueurs de la plaque neurale (Sox2), de la bordure neurale (Pax7), de la bordure neurale et de l’ectoderme non-neural (Tfap2a, Msx1/2) et des progéniteurs de la placode (Six1) a montré que ces marqueurs se chevauchent largement dans les cellules de la bordure neurale chez le poulet (Roellig et al., 2017). Cette co-expression de plusieurs marqueurs est maintenue du début de la neurulation jusqu’à la fermeture du tube neural. En supposant que l’expression de chacun de ces marqueurs permet de prédire fidèlement les destins cellulaires, cette étude indique que la bordure neurale n’est pas divisée en régions à destins bien définis avant la fermeture du tube neural. Ce n’est qu’après que les différents territoires se définissent précisément. Néanmoins, chez le xénope, un biais dans les compétences existe assez précocement et les cellules dorsales dans la bordure neurale ont tendance à devenir des CCN et les cellules ventrales (ou latérales) dans la bordure neurale donnent plutôt des placodes (Pieper et al., 2012).

L’induction des crêtes neurales à partir des cellules de la bordure neurale passe pas un bon dosage entre Pax3 et Zic 1 (trop de Pax3 donne du neurectoderme et trop de Zic1 donne des placodes).

*Induction de l’expression de Snail2 (ou Snai2), un marqueur de crêtes neurales, grâce à la co-expression de Pax3 et de Zic1 dans la calotte animale d’embryons de xénope. Des ARNm codant des formes inductibles par la dexaméthasone des facteurs de transcription Pax3 et de Zic1 sont injectés ou non dans des embryons de xénope au stade 2 cellules. Au stade blastula âgé, la calotte animale de ces embryons est excisée (sans intervention, elle donne normalement de l’épiderme). On ajoute de la dexaméthasone et 8h plus tard, on extrait les ARN et on étudie l’expression de Snai2 par RT-qPCR. On constate que c’est la combinaison Pax3 et Zic1 qui permet une induction optimale (Pax3 seul peut induire plus faiblement l’expression). Source : https://www.sciencedirect.com/science/article/abs/pii/S0006291X17325275

L’induction des crêtes neurales implique aussi un renforcement de la signalisation BMP. Cela est rendu possible par une interaction entre les SMAD en aval du récepteur aux BMP et FHL3, protéine à domaines LIM, qui augmente l’activation de la transcription de Wnt8 en aval des SMAD (Alkobtawi et al., 2021). Cet apport de signalisation Wnt autocrine augmente la production de CCN.

Une nouvelle série de gènes est activée dans l’étape suivante du réseau de régulation génétique des CCN. Ils sont nommés les spécificateurs de CN. Il s’agit par exemple de Snail2, FoxD3, Sox9 et Sox10. Snail2 est le principal chef-d’orchestre de la transition épithélio-mésenchymateuse qui fera émerger les CCN de l’épithélium qui les abrite (voir plus loin).

**Visualisation de l’expression du gène Sox10 dans les crêtes neurales céphaliques d’un embryon de poulet via une analyse UMAP.
À gauche : Représentation UMAP de cellules embryonnaires de la région céphalique d’un embryon de poulet au stade HH10 regroupées en différents types cellulaires selon leur profil d’expression génique obtenu en scRNAseq (séquençage ARN sur cellules uniques). Chaque couleur correspond à un type cellulaire identifié, tel que le mésoderme latéral (LPM), les somites, les cellules du cœur en développement, le mésenchyme, l’endoderme, les crêtes neurales, etc. Les noms de certains gènes caractéristiques de chaque groupe sont indiqués. À droite : Expression du gène Sox10, visualisée sur la même carte UMAP. L’intensité de la couleur violette reflète le niveau d’expression de Sox10 dans chaque cellule. On observe que Sox10 est fortement exprimé dans les cellules des crêtes neurales, ce qui confirme son rôle clé dans le développement de ce tissu embryonnaire. Source : https://journals.plos.org/plosbiology/article?id=10.1371/journal.pbio.3002786

FoxD3 a un rôle dans le maintien des caractères de cellules souches des CCN, c’est-à-dire leur capacité à s’autorenouveler.

*Réduction de l’auto-renouvellement dans les CCN sans Foxd3 (A-D) Des NC vagales et troncales dissociées de souris ont été cultivées à une densité clonale (une cellule donne une neurosphère) dans des conditions non adhérentes pendant 10 jours. Des neurosphères primaires de CCN normales (A) ou mutantes (perte de fonction homozygote de FoxD3 dans les CCN) (B) sont montrées. La quantification du diamètre relatif des neurosphères (C) et du pourcentage de cellules dissociées qui ont formé des neurosphères primaires (D) démontrent des défauts dans les CCN sans Foxd3. (E-H) L’auto-renouvellement a été mesuré en dissociant les cellules des neurosphères et en les remettant dans des conditions où elles peuvent faire des neurosphères (E) et cette expérience a été refaite en mettant la même densité cellulaire pour le sauvage et le mutant pour compenser le fait que les neurosphères mutantes étaient plus petites (F, G, H). Il y a une nette perte de capacité à générer à nouveau des neurosphères signant des pertes de capacités d’auto-renouvellement chez les CCN sans FoxD3. Barres d’échelle : 50 μm. Source : https://journals.biologists.com/dev/article/138/4/641/44927/Neural-crest-stem-cell-multipotency-requires-Foxd3

Sox9 se charge d’inhiber tout programme neurogénique. Quand on l’exprime ectopiquement dans le tube neural, il est capable d’inhiber l’expression de Pax6, Nkx6, Irx3, Olig2 et Nkx2.2, autant de gènes impliqués dans la détermination neuronale (Cheung et Briscoe, 2003). En parallèle, il active l’expression de marqueurs de crêtes neurales dont HNK-1.

*L’expression ectopique de Sox9 dans le tube neural y provoque la formation excessive de crêtes neurales. Des tubes neuraux d’embryons de poulet sont électroporés avec un vecteur permettant la co-expression de Sox9 et de GFP. On suit l’expression de la GFP 6, 12 et 24 heures après électroporation (vert) et on réalise une immunomarquage anti-HNK1 qui est un marqueur de crêtes neurales (rouge). Seul le côté droit du tube neural exprime la GFP (et Sox9) et on y constate une expression ectopique massive de HNK1. Sur le côté gauche, on observe la crête neurale « normale ».
Un commentaire détaillé de cette figure est disponible en vidéo.
Source : https://journals.biologists.com/dev/article/130/23/5681/52295/Neural-crest-development-is-regulated-by-the

La spécification des CCN est aussi limitée dans l’espace. Par exemple, dans la partie la plus antérieure du tube neural appelé ANR (pli neural antérieur), Tcf7l1 inhibe la voie Wnt nécessaire à l’activation du réseau de régulation génétique des CCN (Masek et al., 2016).

Dans toute cette cascade de régulation génique, l’expression des gènes est sous le contrôle de modifications épigénétiques sur les promoteurs et les enhancers (Strobl-Mazzulla et al., 2010; Bajpai et al., 2010).

**Exemple de modifications épigénétiques sur la chromatine lors de l’induction de la bordure neurale (NPB) en cellules des crêtes neurales céphaliques (CNC). JmjD2A agit pour lever la marque répressive H3K9me3 sur les promoteurs de certains gènes précoces codant des facteurs de transcription nécessaires à la spécification des crêtes neurales céphaliques (notamment Sox10). Le complexe de type SWI/SNF Chd7/PBAF s’associe aux marqueurs permissifs H3K4me1 et remodèle la chromatine par glissement de nucléosomes. Ces enhancers passent à un état actif avec un enrichissement de H3K27ac et H3K4me1. Ces enhancers sont liés par AP2α et NRF2F1/2, qui activent l’expression de gènes en aval. Source : Cox et Crump, 2015

Transition épithélio-mésenchymateuse et migration des cellules des crêtes neurales

Avant de lire cette partie, vous pouvez (re)voir des aspects fondamentaux de la transition épithélio-mésenchymateuses et de la migration sur la page dédiée de ce site.

Les CCN sont les cellules des embryons de Vertébrés où la transition épithélio-mésenchymateuses (EMT) et la migration ont été les plus étudiées (Thevenau et Mayor, 2012).

Le chef d’orchestre de l’EMT est le facteur de transcription Snail2. Il est activé par les facteurs de transcription qui spécifient la crête neurale que nous avons vu précédemment (Sakai et al., 2006).

*Sox9 est nécessaire pour activer l’expression de Snail2 dans les CCN. On électropore des embryons de poulet avec un vecteur d’expression de la GFP seule (à gauche) ou de la GFP avec Sox9-En-nuc qui est une forme répressive dominante-négative du facteur de transcription Sox9. On contrôle avec la fluorescence GFP quel côté de l’embryon a été électroporé et l’efficacité de la technique. On effectue ensuite une hybridation in situ avec une sonde reconnaissant l’ARNm de Snail2. Source : https://journals.biologists.com/dev/article/133/7/1323/43528/Cooperative-action-of-Sox9-Snail2-and-PKA

L’expression de Snail2 est aussi contrôlée au niveau traductionnel avec le microARN miR-203 qui inhibe sa traduction dans les CCN pré-migratrices (Sanchez-Vasquez et al., 2019).

**Contrôle de la traduction de Snail2 par un miR-203 dans les CCN de poulet. Durant la spécification des CCN et avant leur migration, miR-203 réprime directement la traduction de l’ARNm de Snail2 et aussi de l’ARNm de PHF12 (PHF12 est une protéine associée à la chromatine qui régule la transcription). Un peu avant l’EMT, cette inhibition est levée, permettant à Snail2 (et à PHF12) d’inhiber la transcription du gène codant la cadhérine 6B, une étape importante de l’EMT. Egalement, Snail2 induit une méthylation de la chromatine dans les séquences régulatrices de la transcription du gène codant miR-203 aboutissant à la répression de son expression. Source : https://journals.biologists.com/dev/article/146/7/dev171017/49068/Epigenetic-inactivation-of-miR-203-as-a-key-step

La transition épithélio-mésenchymateuse est déclenchée par un sursaut d’activité BMP et a besoin d’un cycle cellulaire fonctionnel car les CCN délaminent durant la phase S (Burstyn-Cohen et Kalcheim, 2002).

**Le délamination des CCN induite par BMP4 à partir de tubes neuraux explantés est inhibée par la mimosine, un bloqueur de la transition G1/S. (A) Contrôle et (B) 600 µM de mimosine, (C) 100 ng/ml BMP4 et (D) traitement mimosine + BMP4. Les cellules ont été aussi incubés avec du BrdU, un analogue de base qui s’incorpore dans l’ADN lors de la réplication de la phase S. Les panneaux de gauche sont des images en contraste de phase et les panneaux de droite représentent une immunofluorescence anti-BrdU. (E) Quantification des données. Barre d’échelle : 75 µm. Source : https://journals.biologists.com/dev/article/131/21/5327/42378/Canonical-Wnt-activity-regulates-trunk-neural

Cela est sans doute lié à la migration nucléaire qui accompagne le cycle cellulaire dans un neuroépithélium. Le noyau des cellules se trouve proche du pôle apical (c’est-à-dire proche du canal de l’épendyme ou la partie la plus interne du tube neural) durant la grande majorité du cycle, sauf lors de la phase S où le noyau se déplace vers le pôle basal des cellules, c’est-à-dire plus proche de la lame basale. Ce mouvement doit faciliter la sortie du neuroépithélium pour les CCN.

**Liens entre le cycle cellulaire et l’EMT des CCN. D’après https://www.cell.com/developmental-cell/fulltext/S1534-5807(02)00221-6

Le contrôle temporel de l’EMT est apporté par Noggin qui s’oppose à l’action des BMP tant que les CCN ne sont pas prêtes. L’expression de Noggin dans le tube neural dorsal est contrôlée par un signal en provenance des somites et ainsi la maturation des somites et l’EMT et le début de la migration des CCN est coordonné (Sela-Donenfeld et Kalcheim, 2000). C’est un point important car une vaste majorité des CCN (sauf au niveau céphalique) va migrer à la surface ou même à travers les somites.

A l’inverse de BMP, la signalisation Wnt doit être inhibée pour que l’EMT ait lieu. Chez le xénope et le poulet, cette inhibition est réalisée par Dact1 et Dact2 qui empêchent la β-caténine d’interagir avec le facteur de transcription TCF (Rabadan et al., 2016).

*Dact1, un inhibiteur de la voie Wnt, est nécessaire et suffisant pour stimuler l’EMT et la migration des CCN. On injecte dans 2 cellules d’un embryon de xénope à 8 cellules soit un morpholino qui bloque la traduction de l’ARNm de Dact1 (DACT1 LOF), soit un ARNm permettant de surexprimer Dact1 (DACT1 GOF). L’autre côté de l’embryon sert de témoin non injecté (contrôle). On compare l’état de délamination et de migration des CCN par une hybridation in situ avec une sonde reconnaissant l’ARNm de Twist.
Une version commentée de cette figure est disponible en vidéo.
Source : https://journals.biologists.com/dev/article/143/12/2194/47382/Delamination-of-neural-crest-cells-requires

Au cours de l’EMT, Snail2, Foxd3, Sox9 et Sox10 coopèrent pour orchestrer des changements dans l’expression des cadhérines. Chez l’embryon de poulet, l’expression de la N-cadhérine et de la cadhérine 6B est remplacée par celle de cadhérine-7 et de cadhérine-11 (Chalpe et al., 2010 ; Nakagawa et Takeichi, 1998).

*Snail2 favorise l’EMT en inhibant l’expression de la cadhérine-6B dans les CCN troncales du poulet. Explant et culture de bordures neurales de poulet électroporés in vivo avec un morpholino (MO, un inhibiteur de la traduction) anti-Snail2 avec un MO de contrôle (A) ou avec un MO anti-Cad6B (B). Les cellules électroporées expriment un gène rapporteur codant un fluorophore rouge. (C) Diagramme montrant les résultats des expériences. L’analyse statistique montre une réduction significative du nombre de CCN subissant une EMT en présence du MO Snail2 par rapport au MO Snail2 avec le MO Cad6B. Cela démontre que l’EMT de la crête neurale se produit via un mécanisme qui implique la répression de Cad6B par Snail2. D’autres expériences montrent que la répression de la transcription de Cad6B par Snail2 est directe. Source : https://journals.biologists.com/dev/article/134/8/1481/53069/Snail2-directly-represses-cadherin6B-during

Non seulement la transcription du gène codant la N-cadhérine est diminuée mais en plus la partie extracellulaires des protéines encore présentes est clivée par la métalloprotéinase ADAM10 (Shoval et al., 2007).

Les jonctions serrées sont aussi éliminées lors de l’EMT des CCN. Si on inhibe l’expression de la Claudine-1, il y a une migration plus précoce des CCN et si on force le maintien de l’expression de la Claudine-1, on inhibe l’EMT (Fishwick et al., 2012).

Les protéines contrôlant l’EMT activent également l’expression de l’intégrine β1 (Cheung et al., 2005). L’extinction de l’expression de la N-cadhérine n’est cependant pas universelle car chez le xénope, son expression est même augmentée au moment de l’EMT par une voie de signalisation impliquant les récepteurs PDGF et PI3K/Akt (Bahm et al., 2017).

La fin de la production et de l’EMT des CCN est causée par une extinction de la signalisation BMP sous le contrôle de l’acide rétinoïque produit dans le neural tube dorsale. La partie la plus dorsale du tube neural forme alors le toit (Rekler et Kalcheim, 2022).

**L’acide rétinoïque (RA) est responsable de la perte de sensibilité des progéniteurs dorsaux du tube neural à BMP lors du passage de la production de CCN à la détermination du toit du tube neural.
(A-D’) Immunomarquage pour pSmad1/5/8 (voie BMP active). Les embryons de poulet à E2.5 (27-28 somites) ont été co-électroporés avec RARα403 (qui code une forme dominante-négative du récepteur à RA), Cyp26A1 (qui code une enzyme qui dégrade RA) ou avec un vecteur pCAGG contrôle, avec GFP, et analysés au stade 35 somites (contrôle uniquement, stade NC) et à E4 (stade ou le toit (RP) se forme). Notez la présence d’activité BMP dans le NC prémigratoire (A) et son absence dans le RP des embryons témoins (B-B ‘). Alors que seuls les interneurones dorsaux dl1 situés un peu plus ventralement sont positifs pour pSmad1/5/8 dans les embryons témoins, le domaine du toit (RP) est positif dans les embryons électroporés RARα403 et Cyp26A1 (C-C’, D-D’). Barre d’échelle = 50 μm. Source : https://elifesciences.org/articles/72723

Une fois l’EMT réalisée, les CCN migrent selon des voies précises, formant des flux denses de cellules.

VIDEO 1 :

Sur cette vidéo, une partie de la bordure neurale de la tête d’un embryon de poulet a été électroporée avec un vecteur d’expression de la GFP.

VIDEO 2 : Cellule de crêtes neurales en culture (et exprimant YFP dans la membrane plasmique pour mieux visualiser les déformations de la cellule) en migration.

*Cellules de crêtes neurales craniales en migration observées in vivo chez une souris transgénique qui exprime la GFP sous le contrôle du promoteur Wnt1 actif dans les cellules de crêtes neurales. Pour la cellule qui est au centre au début de la vidéo, on observe la formation d’une large protrusion (lamellipodes) et de prolongements plus fins (filopodes). Source : https://www.cell.com/cell-reports/fulltext/S2211-1247(23)01041-0

Pour trouver leur chemin de migration, les CCN détectent et répondent à différents stimuli extracellulaires. Les gradients de chimioattractants, tels que SDF1 (également connu sous le nom de Cxcl12), sont exprimés le long des voies de migration des CCN et favorisent la formation de protrusion via l’activation de la petite GTPase Rac1 (Theveneau et al., 2010 ; Belmadani et al., 2005; Shellard et al., 2018).

*Le récepteur CXCR4 stimule la migration des CCN. Les tubes neuraux d’explants d’embryons de poulet sont marqués avec le DiI (une molécule lipophile fluorescente qui imprègne la membrane plasmique) avant que les CCN ne se délaminent. Le DiI ne marque pas toutes les cellules. Ces tubes neuraux ont été électroporés avec un shRNA CXCR4 qui produit un ARNi bloquant la production de la protéine. La séquence ADN codant le shRNA se trouvait sur un même plasmide qui permet d’exprimer la GFP (les cellules GFP+ sont des cellules ayant été électroporées et co-expriment très probablement shRNA CXCR4). 18h après l’électroporation, les embryons sont extraits des œufs et observés au microscope confocal. On filme le déplacement des cellules pendant plusieurs minutes. Le contour des tissus est indiqué en pointillé. En A-E, on voit une cellule GFP+ (donc sans doute sans CXCR4) qui se fait dépasser par une cellule marquée par le DiI mais sans GFP. (F) La vitesse des cellules des différentes catégories est quantifiée. (G) Certaines cellules atteignent GS, le ganglion sympathique, dont le centre (core) neuronal est immunomarqué par Ben (rouge). Les CCN sont immunomarquées par l’anticorps HNK1 (vert). On constate que sans CXCR4, les cellules restent en majorité à la périphérie du ganglion et n’arrivent pas à atteindre le centre. Source : https://www.jneurosci.org/content/30/39/13078

La sensibilité différentielle aux signaux chémoattractants est un paramètre important de la migration différentielle des différents types de CCN. Par exemple, dans l’embryon de poulet, les précurseurs des ganglions sympathiques expriment beaucoup de CXCR4 et sont donc attirés par le mésenchyme autour de l’aorte dorsale qui exprime SDF1, contrairement aux précurseurs des ganglions rachidiens qui n’expriment pas CXCR4 et qui restent en position plus dorsale (Kasemeier-Kulesa et al., 2010).

Les signaux chémoattractants sont concurrencés par des répulsifs de migration, tels que les sémaphorines (Sema), les éphrines et Slit/Robo (Theveneau et Mayor, 2012), qui s’expriment aux frontières des voies de migration des CCN et empêchent l’invasion des CCN dans les tissus environnants. Ces signaux répulsifs inhibent en général l’activité de Rac1, ce qui conduit à l’effondrement des protrusions migratoires (Bajanca et al., 2019).

La signalisation éphrine évite que les CCN ne pénètrent dans la partie postérieure des somites et restreignent leur migration dans la partie antérieure.

*Les cellules de crêtes neurales ne migrent que dans la moitié antérieure des somites. Vue latérale de la région troncale d’un embryon de poulet immunomarqué avec l’anticorps HNK-1 qui reconnait les CCN. La partie dorsale est vers le bas. On constate que les CCN, bien qu’elles sortent uniformément le long de l’axe antéro-postérieur du tube neural, migrent uniquement dans la partie antérieure des somites. Photo : Patrick Pla.

Les ligands éphrine (surtout des éphrines-B) sont exprimés à la surface des cellules somitiques et les récepteurs Eph à la surface des CCN. Si on empêche cette interaction, les CCN envahissent la région postérieure des somites. Il en résulte notamment un mauvais développement des ganglions rachidiens qui n’ont plus leur aspect segmenté habituel.

**Structure des éphrines et de leur récepteur Eph. Leur interaction constitue une communication juxtacrine. . Un récepteur Eph a trois régions distinctes : la région extracellulaire constituée d’un domaine de liaison au ligand (LBD), d’un domaine riche en cystéine (CRD) et deux domaines de type fibronectine-III (FN1 et FN2), le région transmembranaire (TMD) et la région intracellulaire constituée de la région membranaire juxta (JM), du domaine kinase (KD), du motif alpha stérile (SAM) et un motif de liaison PDZ (PDZ BM). Les ligands ephrinA sont ancrés à la membrane par glycophosphatidylinositol (GPI) et ephrinB est transmembranaire. Le terme de ligand et de récepteur est communément utilisé mais la signalisation se fait dans les deux sens entre les deux cellules interactantes. Source : https://www.mdpi.com/1422-0067/22/16/8593/htm

Les ligands éphrines A ou B ne sont pas passifs et ils peuvent activer une signalisation dans les cellules qui les expriment. La protéine TBC1d24 est un partenaire de la partie intracellulaire de l’éphrine B2 et il est indispensable à la migration des CCN céphaliques (Yoon et al., 2018).

**L’interaction EphrinB2-TBC1d24 régule la migration des CCN céphaliques chez le xénope. a) Patrons d’expression de Twist (un marqueur des CCN) ephrinB2 et TBC1d24 étudiés en hybridation in situ d’embryons au stade 24. Vue latérale, la partie antérieure est à droite. b) Hybridation in situ utilisant la sonde Twist dans des embryons injectés avec un morpholino (MO) contrôle ou un MO anti-TBC1d24 seule ou avec un ARNm de TBC1d24 résistant au MO. La ligne rouge pointillée indique la distance de migration des CCN du côté injecté de l’embryon au stade bourgeon caudal. Vue antérieure/dorsale. c) Hybridation in situ utilisant la sonde Twist dans les embryons injectés avec un ARNg ciblant TBC1d24 et/ou la protéine Cas9. La ligne rouge en pointillé indique la distance de migration des CCN. d) Le tissu d’explant de crête neurale marqué à la fluorescéine dextran verte (GFD) provenant d’embryons témoins ou dépourvus d’éphrineB2 ou de TBC1d24 a été échangé avec le tissu d’explant de crête neurale normal provenant d’embryons marqués à la fluorescéine dextran rouge (RFD) au stade 20 comme indiqué dans le schéma (gauche). Au stade bourgeon caudal (à droite), on observe que la déplétion de l’ephrineB2 ou de TBC1d24 entraîne des défauts de migration des CCN de manière cellulaire-autonome. Source : https://www.nature.com/articles/s41467-018-05924-9

L’interaction éphrine B2/TBC1d24 est déclenche une voie de signalisation qui est nécessaire à l’inhibition de la locomotion par contact que nous verrons plus loin.

La signalisation Slit/Robo empêche spécifiquement les CCN troncales d’entrer dans l’intestin tout en permettant aux cellules NC vagales (qui donnent le système nerveux entérique) de le faire (De Bellard et al., 2003). On voit donc l’importance de la régionalisation pour les voies de migration. Chez l’embryon de poulet, lorsqu’un récepteur Robo dominant négatif est surexprimé dans les cellules NC, il y a une invasion prématurée des CCN sur la voie de migration dorso-latérale. Slit/Robo empêche donc les premières CCN sorties du neuroépithélium à entrer dans la voie dorso-latérale, sous l’épiderme, qui est une voie réservée aux mélanoblastes qui émergent un peu plus tard et patientent dans une zone d’attente, collée contre le tube neural (Jia et al., 2005). Pour rentrer dans la voie dorso-latérale, les CCN de poulet doivent activer la signalisation médiée par le récepteur B2 aux endothélines qui est spécifiquement exprimé par les CCN migrant sur la voie dorso-latérale (Pla et al., 2005). Les autres CCN qui migrent sur la voie ventrale expriment le récepteur B1 aux endothélines.

Outre les interactions à base de cadhérine, les CCN céphaliques migratrices établissent des jonctions communicantes (Bannerman et al., 2000; Huang et al., 1998; Waldo et al., 1999) dont la présence influence leur polarité et leur survie. Tout comme les contacts dépendant de la N-Cadhérine améliorent la réponse à Sdf1 chez le xénope, les jonctions communicantes affectent la capacité des CCN à polariser et à lire les signaux externes tels que les sémaphorines (Xu et al., 2006). Cela suggère que, dans les groupes de cellules, la compétence pour répondre aux signaux externes est contrôlée grâce à des interactions étroites entre les cellules.

Pour leur migration, les CCN sont aussi être sensibles à des signaux mécaniques. Piezo1 est un canal à Ca2+ mécanosensible et dans les CCN en migration, il contrôle Rac1 et limite la dynamique des points focaux d’adhésion et la formation des lamellipodes (Canales Coutigno et Mayor, 2021).

*Piezo1 inhibe la formation de lamellipodes dans des CCN en culture sur fibronectine. (A, B) Des CCN de xénope sont cultivées sur fibronectine, et expriment LifeAct-Ruby (LifeAct est un petit peptide qui s’accroche aux microfilaments d’actine, et il est couplé ici à une protéine fluorescente Ruby). Les CCN ont été transfectées avec un morpholino contrôle MO (A) et ou dirigé contre Piezo1 (Piezo1 MO) (B). Les cellules sont filmées pendant 20 minutes. Les lamellipodes sont plus abondants avec Piezo1 MO par rapport au MO témoin. (C) Quantification de la durée de vie des lamellipodes en minutes. Source : https://journals.biologists.com/dev/article/148/23/dev200001/273600/The-mechanosensitive-channel-Piezo1-cooperates

Effet de l’inhibition de Piezo1 vu en vidéo :

Source : https://journals.biologists.com/dev/article/148/23/dev200001/273600/The-mechanosensitive-channel-Piezo1-cooperates

Les signaux mécaniques et biochimiques doivent s’intégrer ensuite en une réponse cohérente. Le mécanorécepteur Piezo1 est par exemple indispensable à l’action répulsive des sémaphorines Sema3A et Sema3F.

**Intégration de signaux biomécaniques et biochimiques lors de la migration des CCN. Vue latérale d’un embryon de xénope avec les flux de CCN migrantes dans les arcs branchiaux dessinés en rose. En bordure des zones de migration, les sémaphorines inhibent l’activité de Rac1. Le canal mécanosensible Piezo1 augmente cette inhibition et les CCN n’étendent plus de protrusions. En absence de Piezo1, les sémaphorines n’inhibent pas suffisamment Rac1 et les CCN rentrent dans le territoire « interdit ». Source : https://journals.biologists.com/dev/article/148/23/dev200001/273600/The-mechanosensitive-channel-Piezo1-cooperates

Les CCN ne reçoivent pas que des signaux de migration de leur environnement mais échangent aussi des signaux entre elles. Ce n’est pas étonnant car elles migrent en groupe assez serré. L’une des propriétés mises en évidence est l’inhibition de la locomotion par contact. Lorsqu’une CCN entre en contact avec une autre CCN, elle change de direction.

*Inhibition de la locomotion par contact. D’après https://journals.biologists.com/dev/article/144/13/2456/48131/PDGF-controls-contact-inhibition-of-locomotion-by

Cette propriété est liée à la polarité planaire et le récepteur Frizzled ainsi que Dsh (Dishevelled) associé à cette voie est rapidement déployé aux zones de contact entre les cellules et active la petite GTPase RhoA qui agit sur ROCK qui réorganise le cytosquelette tandis qu’une autre petite GTPase, Rac1, est exclue de la zone de contact, inhibant la formation de nouvelles protrusions dans cette zone. En revanche, Rac1 reste actif du côté opposé (Carmona-Fontaine et al., 2008).

**Concentration de la Dsh associée à la polarité planaire lors de la rencontre entre deux cellules de crête neurale lors de l’inhibition de la migration par contact. Des cellules de crête neurale exprimant la protéine chimérique Dsh-GFP ont été filmées lors d’une collision cellulaire. Le contour des cellules est indiqué. Le temps en en minutes. Flèche = direction de la migration. Pointe de flèche : contact cellulaire montrant la localisation de la Dsh. Source : https://pmc.ncbi.nlm.nih.gov/articles/PMC2635562/pdf/ukmss-2471.pdf

La N-cadhérine qui est exprimée dans les CCN de xénope est aussi impliquée (Scarpa et al., 2015), ce qui n’est pas forcément le cas dans d’autres modèles comme le poulet où la N-cadhérine est réprimée lors de la migration initiale des CCN. Le rôle de la polarité planaire a aussi été remis en cause chez les Mammifères (Pryor et al., 2014). Il semble donc que le détail des mécanismes des CCN soit très dépendant du modèle et aussi du stade et de l’environnement de la migration.

L’inhibition de la locomotion par contact devrait mener à la dispersion des CCN mais il existe des mécanismes attracteurs entre les cellules qui les maintiennent rapprochées. Chaque CCN exprime le facteur de complément C3a et son récepteur C3aR (un récepteur couplé à une protéine G). C3a a un effet attracteur et les régions à forte concentration de CCN contiennent une plus forte concentration de C3a. Le récepteur C3aR activé par son ligand active à son tour la petite GTPase Rac1 qui peut repolariser une CCN isolée et lui faire former un lamellipode en direction de ses congénères pour qu’elle se rapproche à nouveau d’elles. Ainsi, malgré l’inhibition de la locomotion par contact, les CCN restent globalement groupées.

Lors de leur migration collective, les CCN peuvent avoir besoin d’une cellule leader au front de migration. Selon les organismes-modèles et même selon les régions dans un même organisme modèle, ce peut être toujours la même cellule qui se trouve leader ou alors cette position peut être prise par différentes cellules au cours du temps.

**Présence ou non de hiérarchie frontale des CCN au cours de leur migration chez l’embryon de poisson-zèbre. Chez ces deux modèles, les CCN troncales ont une cellule leader bien identifiée lors de leur migration et son ablation par un laser abolit la directionalité du mouvement de tout le groupe de cellules tandis que les CCN céphaliques ont plusieurs cellules qui peuvent se trouver au front de migration et ces cellules peuvent échanger leur position avec d’autres cellules au cours du temps. Source : https://www.cell.com/cell-reports/fulltext/S2211-1247(16)30511-3

La présence et l’importance de cellules leader dans certains cas a été soulignée par des études de transcriptomiques où les gènes transcrits dans les cellules leader présentent des spécificités notables par rapport aux gènes transcrits dans les cellules plus en arrière. Cela peut provenir autant de propriétés intrinsèques des cellules que par le fait qu’elles se trouvent dans des environnements différents (McLennan et al., 2015)

Différentes modélisations ont été faites pour comparer les capacités de migration de groupes de cellules avec des fractions variées de cellules qui peuvent devenir leaders : voir cette vidéo. Chez le poisson-zèbre, l’assignation des cellules en position leader ou en position « suiveur » dépend de la voie Notch : une forte signalisation Notch détermine les leaders et une faible signalisation Notch détermine les cellules « suiveur » (Alhashem et al., 2022).

La position de leader et de suiveur peut avoir un impact sur le devenir des cellules. Par exemple, dans les NCC troncales du poisson-zèbre, les cellules leaders deviennent toujours les dérivés les plus distaux (les neurones du système sympathique exprimant Phox2b) tandis que des dérivés proximaux tels que les ganglions rachidiens dérivent entièrement des cellules suiveuses (Alhashem et al., 2022).

Signalons que les CCN peuvent utiliser les axones en croissance de neurones pour migrer et atteindre leur destination.

**Des dérivés de CCN encore multipotents appelés SCP (pour précurseurs de cellules de Schwann (improprement nommées car elles ne donnent pas seulement naissance à des cellules de Schwann) (jaune) migrent le long des axones des neurones sensoriels (rouge) ou moteurs (vert). Notamment, les cellules SCP qui migrent le long des branches viscéro-motrices contribuent au développement des ganglions sympathiques (SG) près de l’aorte dorsale (DA). Source : https://www.nature.com/articles/s41467-024-51290-0

Durant leur migration, les CCN peuvent aussi envoyer des signaux dans leur environnement et influencer le développement des tissus aux alentours. En effet, si par exemple, on enlève les CCN céphaliques, on observe bien sûr une absence de leurs dérivés mais aussi de graves défauts d’organisation du cerveau. Les CCN migrantes céphaliques sécrètent Gremlin et Noggin qui inhibent les BMP. Cette inhibition est nécessaire à l’activation de l’expression de FGF8 tout à l’avant du tube neural dans une région organisatrice pour le cerveau antérieur appelé ANR (pour Anterior Neural Ridge) (Ohkubo et al., 2002).

Multipotence et détermination des CCN

Les cellules des crêtes neurales sont considérées comme multipotentes car elles sont capables de générer de multiples types cellulaires mais de manière plus restreinte que les cellules pluripotentes. Dans le cas des CCN céphaliques, elles sont tout de même capables de générer des dérivés typiquement mésodermiques (cartilage, os) en plus de dérivés ectodermiques. Elles réactivent pour ce faire transitoirement l’expression du gène de pluripotence Oct4 (Zalc et al., 2021). Cependant, elles ne donnent pas de dérivés endodermiques donc le terme de multipotence s’applique tout de même.

*Le développement des cellules des crêtes neurales céphaliques remis dans le contexte du diagramme de Waddington. Grâce à une ré-expression transitoire de Oct4, les cellules de crêtes neurales céphaliques regagnent en potentialités et peuvent générer des cellules mésodermiques. Cette réactivation ne se fait pas au niveau troncal, ce qui a pour conséquence que les cellules de crête neurales troncales ne donnent pas de dérivés mésodermiques. Source : https://www.science.org/doi/abs/10.1126/science.abb4776
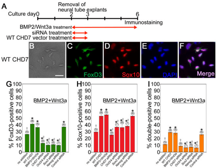
**Rôle de CHD7 et des facteurs de multi/pluripotence Oct3/4, Sox2 et Nanog sur l’expression de Sox10 et FoxD3 dans des cultures de cellules de la crête neurale du tronc de souris. (A) Après leur sortie de tubes neuraux troncaux de souris en culture, les cellules de la crête neurale ont été exposées à BMP2 et Wnt3a des jours 2 à 6 en culture. Les siARN indiqués ou le vecteur permettant l’expression de CHD7 (une ADN-hélicase capable de remodeler la chromatine) a été ajouté aux cultures du jour 2 à 3 de culture. (B-F) Immunofluorescence avec des anticorps anti-FoxD3 et Sox10 ainsi qu’un marquage DAPI des cellules après 6 jours de culture. Les cellules co-expriment FoxD3 et Sox10 comme des cellules de crêtes neurales in vivo. (G-I) Pourcentage de cellules exprimant FoxD3 et/ou Sox10 par rapport au nombre total de cellules dans les conditions indiquées en abscisses. Le traitement BMP2+Wnt3a augmente la proportion de cellules de crêtes neurales co-exprimant FoxD3 et Sox10 mais en l’absence des facteurs de pluri/multipotence Oct3/4, Sox2, Nanog ou aussi de l’hélicase CHD7, le niveau de crêtes neurales FoxD3+/Sox10+ revient à un niveau basal. Source : https://febs.onlinelibrary.wiley.com/doi/full/10.1111/febs.13843

Le développement de CCN est ensuite classiquement considéré comme une série d’étapes de décisions binaires sur le destin des cellules (Dupin et al., 2018). Quand et comment les NCC franchissent ces étapes de détermination et de pertes de potentialité successives est une question déterminante. Les premières études sur les embryons de xénope et de poulet ont suggéré que les CCN en migration sont multipotentes, nécessitant des signaux de l’environnement migratoire pour initier la différenciation (Bronner-Fraser et Fraser, 1989; Collazo et al., 1993). Cela a été également confirmé chez la souris in vivo grâce à une technique de recombinaison génétique de fluorophores dans des populations spécifiques de CCN (Baggiolini et al., 2015).

D’autres études sur le poisson zèbre, la caille et le poulet ont suggéré que les potentialités des CCN sont parfois restreintes avant la migration, et donc que dans certains cas, les réseaux de régulation génique dans le tube neural doivent spécifier les CCN vers différentes lignées avant que les cellules ne deviennent migratrices (Henion et Weston, 1997 ; Schilling et Kimmel, 1994; Krispin et al., 2010).

**Des CCN, qui migrent habituellement ventralement, gardent leur spécification neurale quand elles sont détournées vers la voie de migration des mélanoblastes. Les expériences sont faites à E3, à un stade de l’embryon de poulet où les CCN qui émergent du tube neural ne migrent que sur la voie ventrale et donnent des cellules nerveuses dont des précurseurs neuronaux exprimant Cash1, Islet-1, FoxD3 et TrkC (I-L). HNK-1 marque les CCN. On électropore les CCN avec un vecteur d’expression de EdnRB2 qui oriente la migration des CCN vers la voie dorso-latérale (habituellement empruntée uniquement par les mélanoblastes). Les CCN électroporées continuent néanmoins à activer l’expression des quatre gènes exprimés dans les précurseurs neuronaux. Cela montre que leur détermination neurale a déjà été effectuée avant d’emprunter une voie de migration. Source : https://journals.biologists.com/dev/article/137/4/585/44210/Evidence-for-a-dynamic-spatiotemporal-fate-map-and

Jusqu’à récemment, la compréhension des changements transcriptionnels associés aux différentes étapes du développement de la CCN reposait sur l’analyse de l’expression des gènes dans des tissus entiers et des expériences de gain et de perte-de-fonction qui modifient l’expression des gènes « en masse » (Simoes-Costa et al., 2014). Cependant, les tissus en développement sont souvent hétérogènes sur le plan transcriptionnel, un fait clairement en évidence par les récents développements dans le séquençage de l’ARN sur cellule unique (scRNA-seq) (Briggs et al., 2018; Farnsworth et al., 2020; Chong-Morrison et Sauka-Spengler, 2021 ; Soldatov et al., 2019 ; Zalc et al., 2021; Lencer et al., 2021). De plus, comme les cellules dans les tissus sont souvent à différents stades de spécification, le scRNA-seq a le potentiel d’exposer des changements transcriptionnels associés à la détermination qui auraient été manqués jusque-là. Par exemple, chez le poulet, des études scRNA-seq de CCN céphaliques en migration ont identifié des signatures transcriptionnelles uniques associées à une population de cellules au bord des flux de migration que rien morphologiquement ne distinguaient des autres (Morrison et al., 2021). Tout modèle de développement des CCN doit tenir compte de cette hétérogénéité.

La multipotence peut être maintenue pendant assez longtemps chez certaines cellules dérivées des crêtes neurales, nommées les précurseurs multipotents des cellules de Schwann (SCP). Ces cellules, qui migrent le plus souvent le long d’axones en cours de croissance, donnent naissance à une deuxième vague de production de mélanocytes ainsi qu’à des ganglions parasympathiques et à une partie du système nerveux sympathique et entérique (Espinosa-Medina et al., 2014, Uesaka et al., 2015, Erickson et al., 2024).

Développement d’une sélection de lignages

Au cours de leur détermination et de leur différenciation, les cellules de crêtes neurales activent des programmes génétiques différents selon le lignage qu’elles génèrent.

*Réseaux de régulation génique qui contrôlent trois lignages parmi ceux produits par les cellules de crêtes neurales. (A) Les cellules de la crête neurale donnent naissance à des dérivés distincts en fonction de leurs voies migratoires et de signaux externes. (B) La différenciation de la crête neurale en chondrocytes dépend de l’activité de Sox9 et Sox5/6, qui coopèrent avec la signalisation TGFβ pour activer directement les gènes de différenciation du cartilage Col2a1 et Agc1. (C) La différenciation en mélanocytes est centrée sur l’action des facteurs de transcription Sox10 et Mitf soutenue par la signalisation Wnt. Sox10 et Mitf coopèrent pour activer directement Dct, Tyr et Si, qui codent les enzymes produisant les mélanines. (D) La signalisation BMP entraîne la différenciation des cellules de la crête neurale en neurones sympathiques via l’activation d’Ascl1 et Phox2b, qui à leur tour activent un circuit contrôlant les gènes de différenciation tels que la tyrosine hydroxylase (Th) et la dopamine β-hydroxylase (Dbh). Source : https://journals.biologists.com/dev/article/142/2/242/47078/Establishing-neural-crest-identity-a-gene
*Dissection de la grenouille mettant en évidence quelques nerfs rachidiens (le nerf brachial (nerf II) et le nerf sciatique (nerf IX)). La grenouille a 10 nerfs rachidiens au total dont la composante sensorielle est formée par des neurones et des cellules gliales dérivés des cellules de crête neurale. La composante motrice des ces nerfs (les axones des motoneurones) ne provient pas des cellules de crêtes neurales : les motoneurones sont en effet générés directement à partir du tube neural. Photo : Patrick Pla à partir d’une dissection faite par les étudiants de la Préparation à l’Agrégation SV-STU de l’Université Paris-Saclay.
*Organisation des nerfs rachidiens à proximité de la moelle épinière. D’après https://mmegias.webs.uvigo.es/02-english/2-organos-a/guiada_o_a_01medula.php
*Coupe de ganglion de la racine dorsale de rat (coloration trichrome Mallory). On observe une grande densité de corps cellulaires de neurones. Source : https://mmegias.webs.uvigo.es/02-english/a-imagenes-grandes/nervioso_ganglio.php

Les nerfs rachidiens sont des nerfs mixtes avec des voies sensitives afférentes à la moelle épinière et des voies motrices efférentes partant de la moelle épinière. Les deux types de neurones qui génèrent les dendrites et les axones dans les deux cas n’ont pas du tout la même origine embryologique. Les neurones sensitifs ont pour origine les CCN tandis que les neurones moteurs (ou motoneurones) proviennent de progéniteurs déterminés dans la région ventrale du tube neural (sous l’influence du morphogène Shh).

Les corps cellulaires des neurones sensitifs se trouvent dans les ganglions de la racine dorsale ou ganglions spinaux. Ces ganglions sont répétés le long de l’axe antéro-postérieur car, malgré une délamination des CCN du tube neural répartie également, les CCN migrent seulement à travers antérieure des somites, repoussés de la partie postérieure par la signalisation éphrine et sémaphorine.

Les neurones sensoriels des DRG se caractérisent selon trois modalités perceptives, proprioceptive, mécanoréceptif et (thermo-)nociceptif. Les neurones de grand diamètre comprennent des propriocepteurs qui sont sensibles aux mouvements et à la position des membres, et les mécanorécepteurs qui transmettent des sensations mécaniques. Les récepteurs nociceptifs ont un petit diamètre et répondent aux stimuli thermiques et de douleurs.

*Un corpuscule de Meissner, un mécanorécepteur de la peau dérivé des cellules de crêtes neurales. Il se trouve dans une papille dermique. C’est un mécanorécepteur à adaptation rapide qui est sensible au toucher léger. Il est très répandu dans les zones très sensibles tels que les doigts, les lèvres et la langue. Il est constitué d’une disposition en spirale des terminaisons de six axones myélinisés qui se terminent entre des couches de cellules de Schwann spécialisées, très fines et aplaties, appelées cellules lamellaires. Toutes ces cellules sont des dérivées de CCN. Source : https://fr.wikipedia.org/wiki/Corpuscule_de_Meissner#/media/Fichier:WVSOM_Meissner’s_corpuslce.JPG

Chaque type neurone sensoriel exprime un patron spécifique de caractéristiques moléculaires comprenant des canaux ioniques, des récepteurs aux facteurs neurotrophiques, des neurotransmetteurs entre autres. Dans le DRG, les neurones nociceptifs sont dans la région dorso-médiale tandis que les neurones proprioceptifs et mécanoréceptifs sont situés dans la région latéro-ventrale. Il est à noter qu’il existe des différences importantes entre les espèces : par exemple, une sous-population importante de neurones qui co-expriment TrkA et RET est observée dans les DRG humains, mais est absente des DRG de souris (Rostock et al., 2018).

Chez la souris, la délétion homozygote du gène codant la Neuropiline-1, le récepteur de la sémaphorine 3A qui s’exprime dans la partie postérieure des somites, aboutit à des ganglions rachidiens fusionnés (Schwarz et al., 2009).

*La signalisation Sémaphorine 3A/Neuropiline 1 est nécessaire pour que les ganglions rachidiens soient segmentés. Vue dorsale d’embryons de souris sauvages et knock-out Nrp1-/- (n’exprimant pas la Neuropiline-1) traités en hybridation in situ avec une sonde reconnaissant l’ARNm de Brn3a, un marqueur de neurones sensoriels. Source : https://www.pnas.org/content/106/15/6164.long

La migration des CCN qui donnent les neurones des ganglions rachidiens dépend de SDF-1 reçu par le récepteur CXCR4 exprimé par les CCN (Belmadani et al., 2005).

Sox10 est exprimé de manière transitoire dans le lignage des neurones sensitifs et active l’expression du gène proneural Neurogénine-1 (Ngn1) (Carney et al., 2006). Chez l’embryon de poulet, lorsqu’on surexprime Ngn1, on retrouve une grande partie des cellules infectées dans les DRG et si on fait une surexpression plus tardive, les cellules dans les ganglions sympathiques se mettent à exprimer des marqueurs habituellement trouvés dans les DRG, et dans les nerfs en développement, des CCN qui auraient donné des cellules gliales expriment des marqueurs de neurones sensoriels des DRG (Perez et al. 1999).

*Expression ectopique de marqueurs de neurones sensoriels induite par Neurogénine-1 dans des dérivés de crêtes non sensorielles.
Les embryons de poulet ont été infectés avec RCAS-mNGN-1 (m pour mouse (souris) pour la distinguer de l’expression de la neurogénine-1 endogène) par injection virale dans la voie de migration ventrale des CCN à HH 13-15. Les embryons sont fixés au stade HH27 et coupés et traités en hybridation in situ avec les sondes adéquates. (A,B) Coupes adjacentes d’un animal présentant une infection dans les ganglions sympathiques (SG, flèches). (A) Les ganglions sympathiques sont détectés par le marqueur pan-neuronal SCG10. (B) L’expression ectopique du marqueur sensoriel, NSCL-2, est observée du côté infecté de l’embryon. (C-F) Coupes adjacentes d’un embryon présentant une infection des cellules gliales le long du nerf périphérique. (C) Le nerf est détecté par la coloration TuJ1 et entouré d’une ligne discontinue. Les cellules associées au nerf expriment de façon ectopique le marqueur panneuronal SCG10 (D) et les marqueurs des neurones sensoriels, NeuroD-L (E) et NSCL-2 (F). Source : Perez et al., 1999

La perte-de-fonction de Ngn1 chez le poisson-zèbre aboutit à la disparition des neurones sensoriels montrant qu’il est nécessaire à leur développement. Un autre lignage nerveux dérivés des crêtes neurales comme le système nerveux autonome n’est pas affecté (Cornell et Eisen, 2002).

*Neurogénine 1 (ngn1) est nécessaire au développement des neurones sensitifs. Des embryons de poisson-zèbre de 4 jours sont observés en vue latérale et traités en immunohistochimie avec un anticorps anti-αHu qui reconnait les neurones. Chez des embryons non injectés (à gauche) on observe bien les ganglions rachidiens répétés le long de l’axe antéro-postérieur alors que dans des embryons injectés avec 1,5 ng d’un morpholino inhibant la production de Neurogénine-1, les ganglions ne sont plus présents. Source : https://journals.biologists.com/dev/article/129/11/2639/41672/Delta-Notch-signaling-promotes-formation-of

Ngn2 est exprimé de manière précoce par les CCN chez la souris qui sont fortement biaisées vers un destin de neurones sensoriels ou des glies associées par comparaison avec les neurones sympathiques. Malgré cela, les NCC exprimant Ngn2 ne sont pas engagés dans un destin neuronal, elles peuvent générer à la fois des neurones et de la glie (Zirlinger et al., 2002), contrairement à Ngn1 qui oriente vers un destin neuronal. En absence de Ngn2, certaines cellules qui auraient du faire partie du système nerveux somato-sensoriel viennent participer à la deuxième vague de production de mélanoblastes qui migrent vers l’épiderme à partir de structures profondes (voir la partie sur les mélanocytes).

*En absence de Neurogénine-2, il y a plus de mélanocytes produits par les CCN. (H-K) Hybridations in situ pour Mitf (un marqueur de mélanoblastes et de mélanocytes) sur des embryons WT (H et J) et Neurog2-/- (I et K) sur des coupes transversales de DRG thoracique (H et I) ou sur des embryons entiers en vue latérale (J et K) à E11.5. Source : https://www.cell.com/cell-reports/fulltext/S2211-1247(19)31473-1

Entre les deux neuropilines, Nrp1 et Nrp2, qui sont des récepteurs de sémaphorines, Nrp2 est spécifique des NCC troncs qui vont générer les neurones DRG (Lumb et al., 2014).

**Les CCN troncales exprimant Neuropiline2 donnent très préférentiellement des neurones des DRG. Une méthode de traçage de lignage utilisant un système CreLox inductible impliquant le promoteur du gène codant la Neuropiline-2 (Nrp2-CreERT2/Kikume X R26R) a été mise en œuvre chez la souris. Les cellules exprimant la Neuropiline-2 expriment aussi la beta-galactosidase. Coupes transversales d’embryons de souris à E11,5 colorées avec le X-gal (vu en microscopie classique, BF) et traitées en immunofluorescence avec un anticorps reconnaissant Tuj1 (neurones sensoriels du DRG entre autres) et TH (exprimé dans le système nerveux sympathique). En E, F, les pointillés entourent le DRG et en G-I, ils entourent des ganglions sympathiques. Source : https://neuraldevelopment.biomedcentral.com/articles/10.1186/1749-8104-9-24

La majorité des CCN migrantes et post-migratoires dans le DRG expriment le récepteur au NGF de faible affinité p75 (Hapner et al., 1998). Chez la souris, les NCC co-expriment p75 et Sox10 pendant le développement précoce du DRG. Au fur et à mesure que le développement progresse, à partir du jour embryonnaire E10, les cellules gliales conservent l’expression de Sox10 alors que les neurones expriment uniquement le récepteur p75 (Sonnenberg-Riethmacher et al., 2001).

Outre p75, les CCN en migration expriment TrkC, le récepteur tyrosine kinase au facteur neurotrophique NT-3, qui est maintenu à la fois dans les neuroblastes en prolifération et les neurones postmitotiques (Henion et al., 1995; Rifkin et al., 2000).

De manière assez surprenante, la moitié des nocicepteurs (les neurones « récepteurs de la douleur ») chez l’embryon de poulet provient de CCN contralatérales, c’est-à-dire qui effectuent leur EMT et se déplacent d’abord un peu d’un côté du tube neural puis migrent dorsalement passant par-dessus le tube dorsal et arrivent dans le DRG de l’autre côté par rapport à leur délamination (George et al., 2007).

Les premiers NCC post-migratoires activent l’expression du facteur de transcription forkhead Foxs1 qui est nécessaire pour une différenciation neuronale sensorielle. Brn3a est aussi un marqueur spécifique. Les premiers neurones sensoriels sont positionnés dans la partie ventrolatérale du DRG, tandis qu’à partir de E10.5, des CCN deviennent des neurones dans la partie dorso-médiale. Les neurones ventrolatéraux ont une plus grande taille tandis que ceux situés dans la région dorso-médiale sont plus petits et ont un cytoplasme dense. Ces deux populations sont séparées par une limite assez nette. À E12,5, l’activité mitotique cesse dans le domaine ventrolatéral, mais elle reste présente dans le domaine dorso-médial.

Une population particulière contribue à une dernière vague de prolifération/différenciation dans les DRG : les cellules de la cap (ou coiffe) qui sont des CCN qui forment des amas à la surface du tube neural, aux points d’entrée et de sortie des racines nerveuses périphériques. Ces cellules sont les seules au niveau troncal à exprimer le facteur de transcription Krox20. Les cellules de la coiffe migrent le long des axones périphériques et colonisent les racines des ganglions et des nerfs rachidiens. Tous les précurseurs des cellules de Schwann occupant les racines dorsales sont dérivés de ces cellules. Dans le DRG, les cellules dérivées de la coiffe sont des progéniteurs à la fois de neurones, principalement nociceptifs (contribuant à 5% des neurones nociceptifs totaux) et des cellules gliales satellites (aussi appelées amphicytes et qui entourent le corps cellulaire des neurones dans les ganglions) (Maro et al., 2004).

**Cellules gliales satellites entourant les corps cellulaires de neurones sensoriels dans un ganglion rachidien. Ces cellules dérivent de CCN particulières appelées cellules de la coiffe. Source : https://en.wikipedia.org/wiki/Satellite_glial_cell#/media/File:1318b_DRG.jpg

A partir de E11,5 pour les neurones ventrolatéraux et à partir de E12,5 pour les neurones dorsomédians commencent l’apoptose qui élimine par sélection l’excès de neurones produits.

**Atténuation de l’apoptose dans les DRG qui innervent les membres chiridiens. Les DRG en bleu sur ces schémas d’embryons de poulet sont ceux qui reçoivent des informations des membres chiridiens en développement. Les chiffres se réfèrent aux somites qui servent de repère spatial le long de la moelle épinière. Ainsi, la taille des DRG des segments 14 à 16 et 24 à 30 ne diminue que légèrement au cours du développement, tandis que les DRG des segments 18 à 22 par exemple deviennent beaucoup plus petits. Ce résultat montre que la survie des neurones est corrélée à la quantité de tissu qu’ils innervent. Source : d’après https://onlinelibrary.wiley.com/doi/10.1002/jez.1401110308

Bien que les neurogénines puissent initier des programmes pan-neuronaux, elles ne peuvent pas préciser davantage les sous-types neuronaux dans la lignée sensorielle. Les premiers marqueurs des neurones sensoriels sont les récepteurs transmembranaires tyrosine-kinase TrkA, TrkB et TrkC (Huang et Reichardt, 2003). De plus, d’autres récepteurs de la tyrosine kinase peuvent être détectés lors de la neurogenèse dans le DRG notamment le récepteur Ret (Bourane et al., 2009).

Le récepteur TrkA est exprimé par des neurones nociceptifs de petite taille (50 % des neurones DRG), TrkB est exprimé par les mécanorécepteurs intermédiaires ou de taille moyenne (38-40%) et TrkC par les grands neurones proprioceptifs (10-12%). De plus, certains d’entre eux peuvent transitoirement exprimé plusieurs Trk. Par exemple, au stade précoce du développement, quelques neurones TrkA+ expriment transitoirement TrkB ou TrkC (Zou et al., 2012) tandis qu’un groupe de neurones TrkB+ peut également être transitoirement TrkC+. La population des cellules hybrides TrkA/TrkC ont un diamètre plus grand que les neurones TrkA+ (McMahon et al., 1994).

Ces récepteurs tyrosine kinase transduisent la signalisation de neurotrophines spécifiques : NGF se fixe sur TrkA; BDNF et la neurotrophine-4/5 (NT-4/5) sont les ligands de TrkB, la neurotrophine-3 (NT-3) se lie à TrkC et la famille des facteurs neurotrophiques dérivés des cellules gliales (GDNF) se lient au récepteur Ret (Huang et Reichardt, 2001; Luo et al., 2009; Marmigère et Ernfors, 2007). De plus, le récepteur à faible affinité p75 est exprimé par presque tous les neurones sensoriels Trk+ (Wright et Snider, 1995), et il module la signalisation des neurotrophines, en concentrant les neurotrophines à proximité de récepteurs tyrosine kinases ou en améliorant le transport des neurotrophines (Lee et al., 1994; Verdi et al., 1994).

**Liaison des neurotrophines à leurs récepteurs. Toutes les neurotrophines se lient avec une faible affinité au récepteur p75NTR. NGF se lie avec une haute affinité à TrkA, et BDNF se lie avec une haute affinité à TrkB. La neurotrophine-3 (NT-3) se lie avec une haute affinité à TrkC et peut se lier avec une faible affinité à TrkA ou TrkB selon le contexte cellulaire. CR : domaine de répétition riche en cystéine, C : cluster riche en cystéine, LRR : domaine de répétition riche en leucine, Ig : domaine de type immunoglobine. Les lignes pleines indiquent une liaison de haute affinité, les lignes pointillées indiquent une liaison de faible affinité. Source : https://www.mdpi.com/1422-0067/18/3/548

La signalisation résultant de l’activation de ces récepteurs par la liaison des neurotrophines est cruciale pour la prolifération et la survie cellulaires, la croissance des axones et des dendrites et la formation des synapses. Les souris knock-out pour les différents récepteurs et leurs différents ligands présentent des pertes de populations de neurones sensoriels qui correspondent au patron d’expression. Par exemple, les souris TrkA-/- ou NGF-/- n’ont plus de petits neurones nociceptifs.

*NT-3 (Neurotrophine-3) est nécessaire à la survie d’une partie des neurones des DRG. On compare les DRG de souris sauvages (+/+) et de souris knock-out pour le gène codant NT-3 (-/-). Coloration d’une coupe au crésyl violet (E-H) et immunohistochimie anti-neurofilament (I, J). A E11, on observe des noyaux pyknotiques (gros points bleu) dans le DRG du mutant ce qui évoque la présence d’apoptose. A E13, le DRG du mutant est plus petit et possède moins de neurones. Une étude plus poussée montre que ce sont les grands neurones proprioceptifs qui expriment le récepteur TrkC et qui sont dépendants à la NT-3 qui ont disparu. Source : https://www.sciencedirect.com/science/article/pii/S0896627300802408

Le régulateur de la transcription PRDM12 qui a une activité histone méthyltransférase est co-exprimé avec TrkA dans les précurseurs nociceptifs et contrôle le développement des neurones correspondants. Des patients atteints d’une mutation perte-de-fonction dans le gène Prdm12 présentent une insensibilité congénitale à la douleur (Chen et al., 2015).

*PRDM12 est nécessaire au bon développement des nocicepteurs. (L) Membres antérieurs immunomarqués avec un anticorps reconnaissant la périphérine (PERIPH) dans des embryons de souris à E14.5 qui révèle une diminution générale de l’innervation des membres (les têtes de flèche pointent vers le même nerf dans les embryons Prdm12+/+ et Prdm12-/-). Dans les encarts, les pointes de flèches indiquent une ramification nerveuse réduite dans les embryons Prdm12-/-. Barre d’échelle = 100 μm.
(M) Immunomarquages TrkA (nocicepteurs dans le DRG et neurones de ganglions sympathiques) et NeuN (tous les neurones différenciés) sur des coupes transversales d’embryons Prdm12+/+ et Prdm12-/- à E18,5. Alors que les neurones TrkA+ dans le DRG et leurs projections dans la moelle épinière (SC) sont absents dans les embryons Prdm12-/-, l’expression de TrkA dans les ganglions sympathiques (SG) n’est pas affectée. Barre d’échelle = 200 μm. Source : https://www.sciencedirect.com/science/article/pii/S2211124719302840

Le bon fonctionnement du tractus gastro-intestinal repose sur de nombreux types de cellules spécifiques à des endroits précis travaillant ensemble de manière étroitement coordonnée. Les neurones entériques et la glie du système nerveux entérique sont organisés en deux plexus nerveux concentriques et interconnectés noyés dans la paroi intestinale : le plexus submucosal et le plexus myentérique. Dans chaque plexus, les neurones entériques et la glie sont disposés en grappes appelées «ganglions», qui sont liés par des faisceaux de fibres interganglionnaires pour former un réseau caractéristique en forme de maillage. Ce vaste réseau neuronal innerve toute la longueur du tractus gastro-intestinal, allant de l’œsophage, de l’estomac, de l’intestin grêle (c.-à-d. duodénum, jéjunum et iléon) et du caecum (ou appendice chez l’homme), jusqu’à l’extrémité du gros intestin.

Le réseau du système nerveux entérique contrôle l’activité musculaire qui permet de faire avancer le contenu de la lumière intestinale à travers le tractus. Le système nerveux entérique est la division la plus grande et la plus complexe du système nerveux périphérique comprenant des millions de cellules nerveuses et glies qui lui permettent de détecter et d’intégrer des informations et d’exercer un contrôle moteur approprié (Fung et Vanden Berghe, 2020).

figure1
**Composants neuronaux du circuit entérique. Les neurones sensoriels forment des réseaux interconnectés englobant la circonférence de la paroi intestinale et assurent une innervation étendue de l’épithélium muqueux. Dans le plexus myentérique (PM), les interneurones forment des chaînes le long de l’intestin, les interneurones ascendants se projetant vers la bouche et les interneurones descendants se projetant vers l’anus. Les motoneurones myentériques excitateurs et inhibiteurs innervent le muscle circulaire (CM) et le muscle longitudinal (LM), tandis que les neurones sécrétomoteurs du plexus sous-muqueux (SMP) se projettent vers la muqueuse. Source : https://link.springer.com/article/10.1007%2Fs00018-020-03543-6
figure2
***Fonctionnement du circuit entérique lors du réflexe péristaltique. Les neurones sensoriels intrinsèques sont connectés avec les interneurones ascendants et descendants qui forment des chaînes le long de l’intestin, ainsi qu’avec les motoneurones excitateurs et inhibiteurs. Les interneurones innervent également des motoneurones qui alimentent à leur tour les muscles circulaires et longitudinaux (musculature représentée par des lignes grises ; notez que les différentes couches musculaires et leur innervation ne sont pas dessinées). Lors de la détection d’un stimulus dans la lumière intestinale, l’activation des interneurones ascendants connectés aux motoneurones excitateurs provoque une contraction du côté oral, tandis que l’activation des interneurones descendants connectés aux motoneurones inhibiteurs provoque une relaxation du côté anal pour propulser le contenu. La glie entérique qui provient également des cellules de crêtes neurales joue aussi un rôle actif dans la régulation de la motilité intestinale. Source : https://link.springer.com/article/10.1007%2Fs00018-020-03543-6

Il est essentiel que l’innervation intestinale se développe correctement. Dans les cas extrêmes, les progéniteurs neuraux ne colonisent pas l’intégralité de l’intestin provoquant une aganglionose, dans laquelle la partie la plus distale du gros intestin est laissée sans innervation (Lake et Heuckeroth, 2013). Cela provoque la maladie de Hirschsprung potentiellement mortelle, qui survient dans environ une naissance sur 5000 (Heanue et Pachnis, 2007; Lake et Heuckeroth, 2013). Néanmoins, même lorsque des ganglions entériques se développent, des erreurs dans leur assemblage peuvent encore avoir des conséquences graves, telles qu’une pseudo-obstruction intestinale idiopathique chronique (Rao et Gershon, 2018). En outre, des défauts de développement subtils dans les circuits peuvent également avoir des implications significatives sur la fonctionnalité du tractus gastro-intestinal (Sasselli et al., 2013).

Chez la souris, les CCN vagales pénètrent d’abord dans l’intestin antérieur lors du jour embryonnaire E9,5 et migrent vers la région postérieure. Elles prolifèrent et se différencient en neurones et cellules gliales derrière le front d’onde migratoire (Young et al., 1998). Au fur et à mesure que l’intestin s’allonge, il forme un coude à ∼E11, de sorte que l’intestin moyen est brièvement apposé étroitement à l’intestin postérieur. Entre E11 et E12, certaines CCN traversent directement le mésentère de l’intestin moyen à l’intestin postérieur, en contournant le caecum. Ces CCN «transmesentériques» donnent naissance au moins aux deux tiers distaux du système nerveux entérique de l’intestin postérieur, la moitié distale étant presque exclusivement issue de cette population (Nishiyama et al., 2012). À mesure que les CCN vagales arrivent, l’intestin postérieur augmente également en longueur. À E13,5, un plus petit groupe de CCN sacrées pénètrent dans l’intestin postérieur et migrent vers l’avant (Wang et al., 2011). Les CCN vagales atteignent alors l’extrémité de l’intestin à environ E14,5.

*Migration des cellules de crêtes neurales vagales le long de l’intestin chez la souris. Notez aussi la présence de quelques cellules de crêtes neurales sacrales dans la partie la plus postérieure qui contribuent également au système nerveux entérique. Source : doi:10.1242/dev.182543

À cette période, les neurites myentériques de l’intestin grêle commencent à se projeter radialement vers la muqueuse (Hao et al., 2020). Bien que l’activité électrique et les oscillations spontanées des concentrations d’ions Ca2+ soient détectées dans l’ENS en développement dès E11.5 (Hao et al., 2011), l’activité motrice neurogène n’est observée qu’à partir de E18.5 dans le duodénum (Roberts et al. ., 2010) et à partir de P10 dans le côlon (Roberts et al., 2007). Les propriétés électrophysiologiques du développement des neurones entériques continuent de maturer après la naissance (Foong et al., 2012). La période entre le début de l’activité électrique et la pleine fonctionnalité du système nerveux entérique est probablement une période importante pendant laquelle se produit la formation de connexions synaptiques entre différents neurones et leurs diverses cibles cellulaires (Hao et al., 2013).

Le développement du système nerveux entérique humain se produit à travers une colonisation similaire, dans lequel les CCN empruntent une voie migratoire similaire à celle des embryons de souris et de poulet entre la 4ème et la 7ème semaine embryonnaire (Fu et al., 2003; Wallace et Burns, 2005; Obermayr et al., 2013). Par la suite, le développement des ganglions myentériques se produit à partir des semaines 7 et 14 et coïncide avec la différenciation des muscles lisses. L’ENS humain affiche des réponses Ca2+ évoquées électriquement à la semaine 16, et ce moment coïncide avec l’expression de neurotransmetteurs clés et de protéines synaptiques (McCann et al., 2019).

La migration des CCN dans l’intestin et leur développement sont influencés par le nombre de cellules, l’interaction cellule-cellule médiés par les molécules d’adhérence cellulaire, les interactions avec la MEC et les facteurs sécrétés par le mésenchyme. Deux voies de signalisation, GDNF et son récepteur/co-récepteur RET/GFRα1 et l’endothéline-3 (EDN3) et son récepteur de type B de l’endothéline (EDNRB), sont considérées comme les plus importantes dans ce contexte (Heuckeroth et al., 1998; Gianino et al., 2003; Uesaka et al., 2013; Bondurand et al., 2018). Les mutations dans l’une ou l’autre de ces voies convergent vers un phénotype pathologique de syndrome de Hirschsprung (HSCR) avec le dernier segment du tractus gastro-intestinal vide de neurones entériques (Puffenberger et al., 1994; Romeo et al., 1994; Schuchardt et al., 1994; Amiel et al. , 1996; Shimotake et al., 2001).

RET est un membre de la superfamille des récepteurs transmembranaires tyrosine kinases, et il est présent dans tous les CCN entériques lorsqu’ils migrent à travers l’intestin. L’activation du RET par le GDNF est cruciale pour la survie des précurseurs (Heuckeroth et al., 1998; Taraviras et al., 1999), la prolifération (Heuckeroth et al., 1998; Gianino et al., 2003), la migration (Natarajan et al., 2002), la différenciation et la croissance des neurites (Young et al., 2001).

*Les CCN entériques en culture nécessitent la
présence de GDNF ou de nerturine (NTN, un autre ligand de RET)
pour survivre et se différencier. Les cellules RET+ ont été isolées de l’intestin d’embryons de rat et placées dans un milieu déterminé en culture haute densité (en haut) ou basse densité (en bas). En l’absence de facteurs neurotrophiques, toutes les cellules des cultures à haute densité sont mortes à la fin du troisième jour. En présence de GDNF ou de NTN, les cellules ont survécu pendant au moins 10 jours. Les photos ci-dessus montrent de telles cultures à haute densité qui ont été fixées et marquées par immunofluorescence avec des anticorps reconnaissant Tuj1 (spécifique aux neurones; vert) et S100 (spécifique aux cellules gliales; rouge) le 9ème jour. La viabilité globale des cultures à faible densité était réduite par rapport à leurs homologues à haute densité et elles n’ont donc été conservées que pendant 3 jours. Dans les panneaux du bas, on voit des cellules RET+ cultivées en l’absence de facteurs neurotrophiques (D) ou en présence de GDNF (E) ou de NTN (F) et vue après immunohistochimie avec un anticorps anti-Tuj1. Notez l’effet spectaculaire des deux facteurs sur l’étendue de la croissance axonale. Les pointes de flèches indiquent les neurones Tuj1+ alors que les flèches blanches indiquent des cellules non neurales. Source : Taraviras et al., 1999

La perte de la fonction RET provoque une aganglionose intestinale dans tout l’intestin de souris RET-/- (Schuchardt et al., 1994; Shimotake et al., 2001), et des mutations similaires ont été décrites chez des patients (Amiel et al., 2008). Outre RET lui-même, le co-récepteur GFRα1 et le ligand GDNF sont également nécessaires pour activer la voie RET au cours du développement fœtal. Les mutations inactivantes de cette voie sont responsables de la majorité des cas de HSCR familiaux et sporadiques (Romeo et al., 1994; Angrist et al., 1996). À l’inverse, la suractivation de cette voie, par exemple par des mutations de gain de fonction telles que RET-C618F, conduit à une hyperganglionose (Okamoto et al., 2019). In vitro, la capacité des progéniteurs neuronaux entériques à générer un système nerveux entérique est renforcée par le GDNF (McKeown et al., 2017).

Un certain nombre de facteurs de transcription, notamment PAX3, SOX10, RARB, GATA2 et PHOX2B, sont tous essentiels pour réguler l’expression de RET (Chatterjee et al., 2019), et en tant que tels, ils jouent également un rôle crucial dans le développement du système nerveux entérique.

**Identification des sites de fixation de PAX3 sur les séquences régulatrices du gène RET. La carte génomique du locus RET avec les emplacements des enhancers E2 et E27 est montrée avec les résultats des études de ChIP-qPCR montrant les sites d’hypersensensibilité à la DNAseI (DHS) et d’enrichissement en histones H3K27 acétylée et en H3K4 méthylée (des marques épigénétiques favorables à la transcription). Une ChIP-qPCR utilisant un anticorps PAX3 dans les cellules de neuroblastome humaines SK-N-SH montre un enrichissement de la présence de l’enhancer E2 et de l’enhancer E27 par rapport aux autres régions (jaune). Un contrôle négatif est réalisé avec un anticorps IgG qui ne reconnait pas Pax3 (bleu). La spécificité de la liaison est démontrée lors de la baisse de l’expression de PAX3 dans les cellules SK-N-SH qui provoque une baisse des signaux ChIP-qPCR au niveau des deux enhancers (noir). Source : https://genome.cshlp.org/content/31/12/2199.long

De plus, Sprouty2 (un inhibiteur de la signalisation du récepteur tyrosine kinase) et la kinésine Kif26A servent de régulateurs négatifs de la signalisation RET (Taketomi et al., 2005; Zhou et al., 2009). Enfin, la perturbation de l’expression de Hoxb5 entraîne une baisse de l’expression de Ret, une altération de la migration des CCN et une hypo / aganglionose chez la souris (Lui et al., 2008; Carter et al., 2012; Kam et al., 2014; Kam et Lui, 2015), indiquant une clé rôle de HOXB5 dans le développement des cellules de crêtes neurales entériques.

La voie de signalisation EDNRB est un autre élément crucial dans le contrôle de la prolifération, de la différenciation et de la migration des CCN entériques (Bondurand et al., 2018). De nombreuses mutations causales de la maladie de Hirschsprung proviennent de membres de la voie EDNRB. L’EDNRB est un récepteur couplé à une protéine G exprimé à la surface des CCN entériques. L’enzyme de conversion de l’endothéline (ECE) et le ligand EDN3 sont exprimés dans le mésenchyme intestinal pendant le développement du système nerveux entérique. EDN3 peut également affecter indirectement les CCN entériques en potentialisant les effets du GDNF. La signalisation EDNRB maintient les CCN entériques dans un état non differencié, prolifératif et apte à la migration. En son absence, les CCN entériques se différencient trop vite et il n’y a plus suffisamment de précurseurs pour migrer jusqu’au bout du tube digestif (Lahav et al., 1998; Bondurand et al., 2006; Nagy et Goldstein, 2006).

**EDN3 contribue au maintien des progéniteurs non différenciés lors de la migration des CCN entériques le long de l’intestin. Des souris transgéniques sont créés exprimant la recombinase Cre sous le contrôle du promoteur de Wnt1 qui cible (entre autres) son expression dans les CCN. Les cellules qui activent Cre se mettent à exprimer YFP et l’allèle sauvage de Edn3 peut être remplacé par l’allèle muté perte-de-fonction End3ls (soit à l’état hétérozygote, soit à l’état homozygote). On réalise ensuite une immunofluorescence avec un anticorps anti-SOX10 qui reconnait les précurseurs non différenciés. On voit que la proportion de ces précurseurs baisse parmi les CCN lorsque l’Edn3 n’est pas produite de manière fonctionnelle. Source : https://journals.biologists.com/dev/article/133/10/2075/37569/Maintenance-of-mammalian-enteric-nervous-system

L’expression du gène codant EDNRB est étroitement régulée car son expression inhibe la différenciation pendant la phase de migration mais cette expression doit être à son tour inhibée pour que la différenciation finale ait lieu. Ce sont les facteurs de transcription SOX10 et ZEB2 qui contrôlent directement l’expression de EDNRB (Watanabe et al., 2017).

La migration des CCN entériques repose également sur leur expression de l’intégrine β1. La délétion homozygote de cette intégrine dans les CCN entériques arrête leur migration dans l’intestin postérieur proximal, conduisant à une aganglionose distale (Breau et al., 2009; Gazquez et al., 2016).

*Analyse des trajectoires des CCN entériques dans le cæcum en présence ou absence d’intégrine β1. (A,B) Exemples de trajectoires individuelles des CCN entériques au front migratoire pour l’intestin de souris témoins (A) et mutantes Itgβ1-/- (B) à E11.5. Les trajectoires recouvrent la première image du suivi vidéo, les positions initiales des cellules étant indiquées par des cercles. Les limites du tissu intestinal sont indiquées par des lignes pointillées. Les astérisques indiquent les globules rouges autofluorescents. (C, D) Directionnalité moyenne des CCN entériques témoins (C) et mutants (D) suivis, évaluée en mesurant l’angle entre l’axe antéro-postérieur de l’intestin et la ligne droite séparant les positions initiale et finale de la cellule. Les couleurs des flèches correspondent aux couleurs des trajectoires en A et B. (E, F) Vitesse moyenne (E) et persistance (F) des CCN entériques leaders. La vitesse de chaque cellule a été calculée en divisant la longueur totale de sa trajectoire par le temps. La persistance a été obtenue en divisant la distance entre ses positions initiale et finale par la distance totale parcourue par la cellule. Mes = mésentère. Barre d’échelle : 50 μm. Source : https://journals.biologists.com/dev/article/136/16/2791/65224/1-integrins-are-required-for-the-invasion-of-the

EDN3/EDNRB agit directement sur les cellules mais influence aussi la matrice extracellulaire. Les souris déficientes en endothéline 3 (Edn3−/−) ou en récepteur de l’endothéline B (Ednrb−/−) ont une expression accrue de laminine, de collagène IV (Col4), de perlecan (également connu sous le nom de HSPG2) et d’autres protéoglycanes qui sont normalement présents dans des zones sans ganglions. Les CCN entériques se retrouvent donc dans un milieu hostile à leur migration chez les mutants.

La signalisation via c-Jun (JNK) et l’AMPc agit en aval de la signalisation GDNF/RET et EDN3/EDNRB. Des agents pharmacologiques qui stimulent ou inhibent la signalisation intracellulaire de JNK ou de l’AMPc ont été utilisés pour identifier les déterminants potentiels de la vitesse et de la directionnalité des CCN entériques dans l’intestin de souris E12.5 (Hao et al., 2019). La vitesse de migration est modulée par la signalisation JNK et AMPc, tandis que la directionnalité et l’adhésion sont régulés par la signalisation AMPc, mais pas par JNK, ce qui suggère que ces propriétés migratoires des CCN entériques sont régulées séparément.

Outre les voies de signalisation GDNF/RET et EDN3/EDNRB, un certain nombre d’autres molécules jouent également un rôle crucial, ou ont un rôle de raffinement, dans la façon dont le système nerveux entérique est établi. Notamment, Sox10 est un facteur de transcription clé avec des rôles cruciaux dans le maintien de l’état progéniteur des CCN entériques et dans le développement glial (Bondurand et Sham, 2013). L’expression de Sox10 est maintenue dans les cellules gliales, alors qu’elle est diminuée lorsque les progéniteurs se différencient en neurones entériques (Hao et al., 2017).

**Différenciation des progéniteurs entériques. Les cellules progénitrices CCN entériques Sox10+ se divisent puis déterminent en précurseurs neuronaux et gliaux. Les précurseurs gliaux et la glie entérique elle-même restent prolifératifs, tandis que la prolifération des précurseurs neuronaux est limitée. L’expression de la S100B marque la différenciation des précurseurs gliaux en glie, mais la façon dont la différenciation des sous-types gliaux se produit reste inconnue. Source : https://www.ncbi.nlm.nih.gov/pmc/articles/PMC5322270/

Des mutations dans SOX10 peuvent aussi causer la maladie de Hirschsprung, tout comme des mutations dans les voies GDNF/Ret et EDN3/EDNRB. La maladie de Hirschsprung a donc des origines génétiques très hétérogènes.

Les mélanines (eumélanine (brune à noire) et phéomélanine (orangée)) qui pigmentent plus ou moins notre peau sont produites par des cellules appelées mélanocytes, qui se trouvent dispersées dans la couche basale de l’épiderme (vous pouvez trouver une reconstitution 3D interactive de l’épiderme sur ce site) et à la base des phanères (poils, plumes, écailles).

Signalons que beaucoup d’animaux possèdent non pas un seul type de cellule pigmentée dans l’épiderme mais une diversité plus grande : les mélanophores, les xanthophores jaunes ou oranges, les iridophores avec des dépots cristallins de guanine et aussi plus rarement des érythrophores rouges.

**Pigmentation du poisson-zèbre (Danio rerio) et d’une espèce proche, Danio albolineatus (ou Danio perlé, (pearl)). A gauche, vue latérale des poissons. Sur les photos de droite, la peau a été traitée à l’adrénaline pour faire converger les mélanosomes et les xantosomes au centre des mélanophores (noir) et des xanthophores (jaune). Les interactions entre les chromatophores génèrent et maintiennent un motif de bandes horizontales sombres et claires chez Danio rerio avec des caractéristiques de formation de motifs ressemblant à un processus de Turing. Barre d’échelle : à gauche = 5 mm; à droite = 50 µm. Source : https://elifesciences.org/articles/12401
*Coloration des téguments de vertébrés. (a) Les motifs colorés chez les mammifères et les oiseaux sont principalement déterminés par les variations de pigmentation et des micro- et nanostructures de leurs productions épidermiques, tels que les poils, les écailles et les plumes (phanères). Le dépôt de pigments par les mélanocytes, notamment l’eumélanine et la phéomélanine, se produit pendant la croissance des phanères. Les motifs macroscopiques qui en résultent sont souvent générés par les micromotifs des phanères. Dans les plumes, ils peuvent résulter de variations morphologiques complexes aux échelles nanométrique et micrométrique des barbillons et des barbules qui s’étendent à partir de la tige centrale. Certaines espèces d’oiseaux ont également des mélanocytes résidant entre les follicules pileux (appelés mélanocytes interfolliculaires) ; ceux-ci, cependant, contribuent parfois aux motifs de couleur. (b) Chez d’autres vertébrés, notamment les amphibiens, les reptiles et les poissons, les motifs de couleur sont créés par des variations dans la disposition tridimensionnelle des pigments et des substances interférant avec la lumière dans le tégument. Plusieurs types de cellules, notamment les mélanophores bruns à noirs, les xanthophores/érythrophores jaunes à rouges et les iridophores réfléchissants, influencent la coloration du tissu. De plus, il peut y avoir des variations dans la localisation intracellulaire des pigments. Bien qu’elles ne soient pas pigmentées elles-mêmes, les écailles peuvent également générer des micromotifs qui affectent la coloration des animaux par leurs propriétés structurelles ainsi que par la distribution et la présence de chromatophores dans l’épiderme environnant. Source : https://www.annualreviews.org/content/journals/10.1146/annurev-genet-031423-120918

Les mélanines sont transférées dans les kératinocytes par une vésicule cellulaire appelée mélanosome. Ce transfert est facilité par la morphologie dendritique des mélanocytes avec des prolongements qui s’insinuent vers les couches au-dessus de la couche basale.

*Les mélanocytes à l’origine de la pigmentation de notre peau. La coloration relative de la peau dépend de la quantité de mélanine produite par les mélanocytes de la couche basale et de la quantité qui est absorbée par les kératinocytes.

La mélanine se présente sous deux formes : l’eumélanine noire ou brune et la phéomélanine orange. Leur voie de biosynthèse est commune de la tyrosine jusqu’à la DOPAquinone, puis elles sont produites par des réactions différentes (la synthèse d’eumélanine nécessite les enzymes Trp1 et Trp2). Les personnes à la peau foncée produisent plus de mélanine que celles à la peau claire. L’exposition aux rayons UV du soleil entraîne la fabrication et l’accumulation de mélanine dans les kératinocytes, car l’exposition au soleil incite les kératinocytes à sécréter des substances chimiques qui stimulent les mélanocytes, notamment l’α-MSH. L’accumulation de mélanine dans les kératinocytes entraîne un assombrissement de la peau, ou un bronzage. Cette accumulation accrue de mélanine protège l’ADN des cellules épidermiques contre les dommages causés par les rayons UV et la dégradation de l’acide folique, une vitamine nécessaire à notre santé et à notre bien-être. À l’inverse, une trop grande quantité de mélanine peut interférer avec la production de vitamine D, un nutriment important impliqué dans l’absorption du calcium. Ainsi, la quantité de mélanine présente dans notre peau dépend d’un équilibre entre la lumière solaire disponible et la destruction de l’acide folique, et la protection contre les rayons UV et la production de vitamine D.

*Les voies de signalisation activées par les UV dans les mélanocytes via la sécrétion d’α-MSH par les kératinocytes. Sous l’action des UV, les kératinocytes produisent et sécrètent l’hormone stimulant les mélanocytes (αMSH), qui se lie au récepteur couplé aux protéines G, le récepteur de la mélanocortine 1 (MC1R), exprimé à la membrane plasmique des mélanocytes. L’activation de MC1R entraîne l’activation de l’adénylate cyclase, qui, à son tour, augmente les niveaux d’AMPc et active la PKA dans les mélanocytes. Une fois activée, la PKA phosphoryle le facteur de transcription CREB, déclenchant le recrutement de CBP/p300 et la transcription des gènes cibles de CREB, dont le gène codant le régulateur principal des mélanocytes, le facteur de transcription MITF. D’autres voies de signalisation sont également activées. Source : https://www.mdpi.com/1422-0067/23/3/1358/htm

Les mélanocytes de la peau peuvent donner naissance à des mélanomes qui sont parmi les plus cellules tumorales les plus invasives lorsqu’elles forment des métastases (25% de survie à 5 ans chez les patients avec métastases contre 99% si le mélanome reste in situ). C’est parce qu’elles réactivent des réseaux génétiques proches de ceux des crêtes neurales.

*Deux exemples de mélanomes. Source : https://openstax.org/books/anatomy-and-physiology/pages/5-4-diseases-disorders-and-injuries-of-the-integumentary-system

On trouve également des mélanocytes à la base des poils ou des plumes (qui sont des phanères, c’est-à-dire des productions épidermiques kératinisées) et également dans l’iris. Des mélanocytes sont présents dans la stria vascularis de l’oreille moyenne et sont essentiels pour la production de l’endolymphe nécessaire à l’audition. Ainsi les syndromes de Waardenburg associent une surdité congénitale à des défauts de pigmentation. Des mélanocytes sont également présents sur les valves cardiaques. Leur densité est en corrélation avec la rigidité et les propriétés mécaniques des valves, ce qui suggère que les mélanocytes soutiennent leur bon fonctionnement (Nasim et al., 2021). Certaines cellules pigmentées ne proviennent pas des CCN telles les cellules de l’épithélium pigmenté rétinien qui dérivent directement du tube neural.

Les précurseurs des mélanocytes dérivés des CCN, les mélanoblastes, migrent sur la voie dorso-latérale, sous l’ectoderme non neural qui devient de l’épiderme (migration à partir de E8,5 chez la souris). Une analyse plus fine de l’origine embryonnaire des mélanocytes cutanés a révélé qu’ils proviennent aussi de précurseurs multipotents des cellules de Schwann (SCP) résidant à la surface des fibres nerveuses en développement. Cette deuxième vague de production de mélanoblastes est particulièrement importante pour les espèces qui ont une grande surface de peau ou de phanères (poils, plumes…) à colorer. A E14,5 chez la souris, les mélanoblastes pénètrent dans l’épiderme et dans les follicules pileux et s’y différencient.

*Les mélanocytes issus des précurseurs multipotents des cellules de Schwann (SCP) colonisent essentiellement le côté ventral de l’embryon (hypaxial). Hybridation in situ avec une sonde reconnaissant l’ARNm d’Ednrb2 (un marqueur de mélanoblastes/mélanocytes) d’embryons de poulet contrôle (à gauche) ou dont le tube neural a été cautérisé après le départ des cellules de crêtes neurales qui produisent les SCP et avant le départ des cellules de crêtes neurales qui produisent directement les mélanocytes (à droite). EN = indentation épidermique qui permet de séparer le domaine épaxial (dorsal) et hypaxial (ventral). SC = moelle épinière. Barre d’échelle = 40 µm. Source : https://www.pnas.org/doi/10.1073/pnas.1306287110

Presque tous les aspects de la biologie des mélanocytes, de la détermination à la différenciation jusqu’à l’éventuelle tumorigenèse, sont contrôlés par le facteur de transcription MITF (Kawakami et Fisher, 2017). La mutation mi ou microphtalmia a été découverte par Paula Hertwig en 1942 dans la descendance de souris irradiées aux rayons X. Le phénotype associait des petits yeux (d’où le nom), une perte de pigmentation, une surdité (à cause de l’absence de mélanocytes dans la stria vascularis de l’oreille interne) et aussi des défauts dans les mastocytes et les ostéoclastes car MITF joue aussi un rôle dans ces cellules qui ne dérivent pas des CCN.

*Une souris homozygote pour une mutation perte-de-fonction de MITF, avec le phénotype microphtalmia. Cette souris appartient à une lignée qui a normalement un pelage coloré. Source : https://genesdev.cshlp.org/content/33/15-16/983.long

En 1993, le gène codant MITF a été trouvé par une mutagénèse par transgénèse insertionelle et il a été montré que des patients atteints du syndrome de Waardenburg de type II (yeux réduits, surdité et défauts de pigmentation) ont une mutation perte-de-fonction dans ce gène (Tassabehji et al., 1994). C’est également le cas des patients atteints du syndrome de Tietz qui associe également défaut de pigmentation (très prononcé, type albinisme) et surdité mais sans changement de la taille des yeux.

MITF est un facteur de transcription de type bHLH-Zip (hélice-boucle-hélice basique-Leucine Zipper) qui se fixe sous forme de dimère sur des séquences consensus appelées boîte E : CA(T/C)GTG. Il en existe plusieurs isoformes en fonction du premier exon utilisé. C’est l’isoforme M qui est la plus exprimée dans les mélanoblastes et les mélanocytes et spécifiques de ces cellules.

Son expression est activée, entre autres, par les facteurs de transcription Pax3 et Sox10 et aussi par LEF/TCF associé à la β-caténine activée par la signalisation Wnt.

*SOX10 agit en synergie avec PAX3 sur le promoteur de MITF. (A) L’expression du gène rapporteur de la luciférase est sous le contrôle du promoteur MITF normal (pMITF) ou muté avec une délétion ponctuelle (pMITFdel1718 et pMITFdel2061) et avec ou sans six sites potentiels de liaison SOX10 supprimés (pMITFdel1718SOX) ou les 2 sites de liaison PAX3 supprimés ainsi que les 6 sites SOX10 (pMITFdel1718 SOX+P1+P2). Ces constructions ont été transfectées dans des cellules HeLa en combinaison avec des vecteurs d’expression contrôles et des vecteurs permettant d’exprimer PAX3 et/ou SOX10 (barres noires, gris clair et gris foncé correspondant aux divers scénarios). Les données de toutes les transfections sont présentées sous forme de facteur d’induction au-dessus des niveaux de base. Source : https://academic.oup.com/hmg/article/9/13/1907/627353

Le rôle de Sox10 dans le lignage mélanocytaire est conservé, ce que souligne le mutant colourless chez le poisson-zèbre qui correspond à une mutation perte-de-fonction de sox10 et qui ne possède pas de cellules pigmentées dérivées des cellules de crêtes neurales (Dutton et al., 2001).

*Effet de la mutation colourless (cls) chez le poisson-zèbre. Il s’agit d’une perte-de-fonction de sox10. Notez l’absence de cellules pigmentées le long du corps (dérivées de la crête neurale) mais la pigmentation de l’œil, qui ne provient pas de cellules pigmentées dérivées de la crête neurale, est maintenue. Source : https://journals.biologists.com/dev/article/123/1/369/39335/Zebrafish-pigmentation-mutations-and-the-processes

Le variant d’histone H2A.Z joue aussi un rôle important dans la détermination des CCN en mélanocytes. Ce variant occupe le promoteur de Mitf et contrôle l’activation de l’expression de Mitf par les signaux appropriés (Raja et al., 2019). Les facteurs YAP65/TAZ (inhibés par la voie Hippo) doivent aussi être présent pour que Pax3 puisse correctement activer l’expression de Mitf (Manderfield et al., 2014).

**YAP et TAZ sont nécessaires pour activer l’expression de MITF. Grâce à la technique Cre/Lox, les gènes codant YAP et TAZ sont délétées spécifiquement dans les cellules exprimant Wnt1 ce qui correspond au niveau et au stade étudié aux cellules de crêtes neurales. Cette délétion est soit hétérozygote (A), soit homozygote (B). Les cellules où la Cre a été active se mettent à exprimer tdTomato (fluorophore rouge). Images sous fluorescence de coupes transversales d’embryons E10.5 immunomarquées pour Mitf (vert) et tdTomato (rouge). (A) Les cellules marquées adjacentes à l’ectoderme de surface où se trouvent normalement les mélanoblastes migrateurs sont indiquées par des pointes de flèche. (B) Les cellules migratrices de la crête neurale près de l’ectoderme qui n’expriment pas Mitf mais expriment tdTomato dans les embryons doublement mutants sont indiquées par des pointes de flèche. Barres d’échelle = 100 μm. Source : https://www.cell.com/cell-reports/fulltext/S2211-1247(14)00930-9

Le facteur de transcription FoxD3, en tant que gardien de la multipotence des CCN, s’oppose à l’activation de l’expression de Mitf. L’expression de FoxD3 doit être réprimée et cela nécessite la présence de HDAC1 et donc des désacétylations d’histones (Ignatius et al., 2008).

MITF est considéré comme un régulateur principal de la détermination des mélanoblastes mais il ne peut induire une différenciation complète sans la présence de Sox10. En effet, c’est seulement ensemble que Sox10 et MITF induisent pleinement l’expression de Dct et de Tyrosinase, deux enzymes nécessaires à la synthèse des mélanines (signalons que Dct est exprimé très tôt, dès le stade mélanoblaste, bien avant qu’il y ait de la pigmentation). Une troisième protéine est nécessaire, BRG1 qui fait partie du complexe SWI/SNF de remodelage de la chromatine (Marathe et al., 2017).

**MITF, Sox10 et BRG1 sont nécessaires pour une pleine activation de l’expression des gènes codant les enzymes des mélanocytes Dct, Tyrp1 et Tyr. On fait exprimer dans des cellules non pigmentées MITF, Sox10 et de manière inductible par la tétracycline (Tet) une forme inductible de BRG1. On étudie ensuite par RT-qPCR l’expression de Dct, Tyrp1 et Tyr. On constate que MITF ou Sox10 seuls n’activent que peu l’expression des gènes mais qu’ils ont ensemble une action synergique sur l’expression de Dct. Mais l’expression maximale des gènes cibles n’est obtenue qu’en présence de BRG1. Source : https://academic.oup.com/nar/article/45/11/6442/3744533

MITF active également l’expression de PMEL17 qui est impliqué dans la formation des mélanosomes qui contiennent les pigments (Berson et al., 2001) et aussi l’expression de Rab27A et de la myosine 5A qui jouent un rôle dans le transport des mélanosomes (Alves et al., 2017). MITF joue aussi un rôle dans la survie des mélanoblastes et des mélanocytes, notamment par son activation de la transcription du gène codant la protéine anti-apoptotique Bcl-2 (McGill et al., 2002). En ce qui concerne la prolifération, MITF joue un rôle différent selon le niveau de son activité : une activité intermédiaire stimule la prolifération, une activité forte stimule la différenciation et l’arrêt du cycle cellulaire, une activité faible provoque une dédifférenciation, une capacité migratoire plus importante (une situation qu’on retrouve dans les mélanomes) et quand l’activité devient trop faible, cela aboutit à la sénescence et à la mort. C’est ce que l’on appelle le modèle du rhéostat MITF (Goding et Arnheiter, 2019).

Le ligand EDN3 et son homologue récepteur de l’endothéline B (EDNRB) régulent l’expansion des mélanoblastes et affectent leur différenciation en mélanocytes matures.

**Expressivité variable de la mutation piedbald (Ednrbs) chez la souris. Les souris atteintes de la mutation piebald présentent un pelage tacheté de blanc, mais la répartition et la taille des taches varient selon les souris mutantes. Cela montre bien que les récepteurs aux endothélines de type B sont impliqués dans le développement des mélanocytes mais il y a une expressivité variable de la mutation piebald (les mutations dont l’expressivité est variable présentent une variation phénotypique importante entre individus de même génotype). Source

Chez les oiseaux, les mélanoblastes expriment un récepteur spécifique, EDNRB2, qui orientent leur migration sur la voie dorso-latérale (Pla et al., 2005). Les autres CCN expriment EDNRB et migrent sur la voie ventrale donnant d’autres dérivés. Ce système n’existe pas chez les Mammifères car le gène Ednrb2 a été délété. Il semble que la migration dorso-latérale des mélanoblastes soit dans ce cas sous l’influence de SCF (Stem-Cell Factor) et de son récepteur tyrosine-kinase c-kit (alors qu’il n’a qu’un rôle plus tardif chez les oiseaux). Chez la souris, l’expression renforcée de SCF dans l’épiderme sous le contrôle du promoteur de la kératine 14 provoque une entrée plus importante de mélanocytes dans l’épiderme entre les poils alors que d’habitude les mélanocytes se logent surtout dans les follicules pileux chez ces animaux. L’expression des cadhérines a aussi son importance : les mélanocytes qui se trouvent dans l’épiderme expriment préférentiellement la E-cadhérine tout comme les kératinocytes qui les entourent puis expriment majoritairement la P-cadhérine dans les follicules pileux ce qui est aussi les cas des kératinocytes locaux.

**Patron d’expression des cadhérines dans les mélanoblastes et les mélanocytes chez la souris. Les mélanoblastes expriment cad6 au cours de leur migration précoce par la voie dorso-latérale. Puis les mélanoblastes commencent à exprimer E-cad et P-cad dans le derme, avant d’envahir l’épiderme. À la naissance, les mélanoblastes se différencient en mélanocytes dans trois endroits principaux de la peau. Les mélanocytes de l’épiderme, les mélanocytes des follicules pileux (ou de la matrice du poil) et les mélanocytes du derme. Les mélanocytes dermiques expriment N-cad, et se lient aux fibroblastes environnants via la N-cad. Les mélanocytes de l’épiderme et des follicules pileux expriment à la fois E-cad et P-cad. Le rapport relatif de
ces deux cadhérines est inversé : les mélanocytes épidermiques expriment plus de E-cad et moins de P-cad que les mélanocytes des follicules pileux. L’interaction de ces mélanocytes avec les kératinocytes environnants est médiée par ces deux cadhérines. Source : Pla et al., 2001

Les étapes de la différenciation des mélanocytes nécessitent à la fois la signalisation WNT/β-caténine (Rabbani et al., 2011) et SCF/c-Kit (Botchkareva et al., 2001; Liao et al., 2017).

L’activité d’activation transcriptionnelle de MITF dépend de sa phosphorylation sur la sérine 298 (Takeda et al., 2000) et certains patients atteints du syndrome de Waardenburg ont une mutation ponctuelle aboutissant à un autre acide aminé non phosphorylable à cette position.

*Importance de la sérine 298 sur l’activité de MITF. Des cellules NIH3T3 sont transfectées avec des constructions comportant le gène codant la luciférase sous le contrôle du promoteur du gène codant la tyrosinase, une enzyme de synthèse de la mélanine. Les cellules sont transfectées avec un vecteur permettant d’exprimer la forme sauvage ou l’une des formes mutantes de MITF où des sérines et des thréonines sont remplacées par des alanines (non phosphorylables). Le remplacement de la Ser298 par une alanine a inhibé la capacité à transactiver le promoteur du gène codant la tyrosinase. Les protéines MITF mutantes sont exprimées dans l’extrait nucléaire à un niveau équivalent à celui de MITF de type sauvage, comme en témoigne l’analyse par immunoblot (données non montrées). Source : https://academic.oup.com/hmg/article/9/1/125/2356072

MITF est phosphorylé sur la sérine 298 par GSK3β. L’α-MSH qui est un peptide secrété qui stimule la mélanogenèse active une voie de signalisation qui augmente l’AMPc qui inhibe la voie PI3K/Akt. Or Akt inhibe GSK3β, donc l’α-MSH favorise la phosphorylation sur la sérine 298 de MITF et augmente ses capacités d’activateur transcriptionnel (Khaled et al., 2002). L’AMPc agit également en stimulant la PKA qui augmente l’activité de CREB qui augmente la transcription de MITF.

**Voies de signalisation impliquées dans la mélanogénèse induite par α-MSH. α-MSH active l’adénylcyclase ce qui aboutit à l’élévation de la concentration en AMPc intracellulaire. Cela conduit à l’activation de la PKA et à la stimulation de la transcription de MITF entraînant une stimulation de l’expression de la tyrosinase. L’AMPc, indépendamment de la PKA, active également la cascade Ras, B-Raf, MEKK, ERK et Rsk-1. La phosphorylation de MITF sur la sérine 73 et la sérine 409 par respectivement ERK et Rsk-1, favorise sa dégradation constituant un mécanisme de rétrocontrôle qui empêche une production excessive de synthèse de mélanine. Enfin, l’AMPc, via un mécanisme indépendant de la PKA, inhibe PI3K et AKT et favorise une activation de GSK3β. GSK3β, en phosphorylant MITF sur la sérine 298, augmente sa liaison à la boîte M du promoteur du gène codant la tyrosinase, conduisant à une stimulation de l’expression de ce gène. GSK3β agit aussi sur Tau et pourrait avoir un rôle dans la formation des dendrites des mélanocytes. Source : https://www.sciencedirect.com/science/article/pii/S0021925820742511

Parmi les cibles de MITF on trouve le gène codant Bcl2, un inhibiteur de l’apoptose et aussi CDK2 qui stimule l’avancée dans le cycle cellulaire. Cela permet d’expliquer l’importance de MITF dans la survie et la prolifération des mélanoblastes.

Les cellules souches mélanocytaires (McSC) sont des cellules souches non pigmentées, dérivées de la crête neurale qui cohabitent avec les cellules souches épithéliales du follicule pileux (HFSC) dans une structure anatomique appelée le renflement du follicule pileux (Nishimura et al. 2002). Les McSC génèrent et reconstituent le pool de mélanocytes du follicule pileux producteurs de pigments qui donnent leur couleur aux poils des mammifères (Lin et Fisher, 2007).

**Cycle du poil. Plusieurs étapes se succèdent : croissance (anagène), régression médiée par l’apoptose (catagène) et repos (télogène). La durée du cycle pilaire varie selon les espèces, mais sa durée relativement courte (∼3 semaines) chez la souris, combinée à une accessibilité, a fait du follicule pileux un système attrayant pour les études sur les cellules souches.

Le renflement du follicule pileux est une niche de cellules souches dynamiques où les HFSC alimentent des épisodes de production de poil active (anagène), suivis d’une phase destructrice (catagène) dans laquelle la majeure partie de la partie régénérée du follicule pileux dégénère, et enfin, une période de repos (télogène) au cours de laquelle aucune régénération ou destruction tissulaire ne se produit. Pour générer des mélanocytes uniquement lorsque cela est approprié, les McSC quiescents (qMcSC) doivent coordonner leur activité avec le cycle capillaire (Nishimura, 2011). En synchronisant leur brève fenêtre d’activation avec les HFSC au début de chaque cycle capillaire, les McSC sont capables de générer une progéniture proliférative au début de l’anagène qui mature et produit et transfère de la mélanine aux cellules qui se différencient dans le bulbe pileux. Tout en alimentant ce processus, le renflement doit supporter un nombre suffisant de McSC et de HFSC pour se lancer dans les cycles ultérieurs de croissance des poils.

Lors du télogène, les BMP régulent la quiescence des HFSC (Infarinato et al., 2010), tandis que le TGF-β contrôle la quiescence des McSC (Nishimura et al. 2010). Au début de l’anagène, la signalisation WNT/β-caténine stimule l’activation à la fois des HFSC et des McSC à la base du renflement (Rabbani et al. 2011). Les HFSC activées par WNT produisent des endothélines qui stimulent davantage l’expansion de McSC qui expriment le récepteur EDNRB (Rabbani et al., 2011; Takeo et al., 2016). On retrouve donc les mêmes acteurs que lors du développement embryonnaire.

**EDNRB est nécessaire à la régénération des mélanocytes lors de la formation de nouveaux poils. Grâce au système Cre/Lox, des mutants sont crées dans lesquels le gène codant EDNRB est délété de manière contrôlée par injection de tamoxifène. Les souris expriment aussi le gène rapporteur LacZ sous le contrôle du promoteur de Dct (qui marque les mélanoblastes et les mélanocytes). On observe en coupe la base des poils après la seconde phase télogène après la délétion induite, la 3ème puis la 4ème dans des souris contrôles ou mutantes. Source : https://www.cell.com/cell-reports/fulltext/S2211-1247(16)30405-3

Une fois activés, les HFSC génèrent des progéniteurs qui prolifèrent et enveloppent la papille dermique pour former un bulbe pileux à partir duquel les poils émergent. Des précurseurs mélanocytaires issus des McSC viennent les rejoindre. Là, ils mûrissent en mélanocytes producteurs de mélanine en même temps que les cellules se différenciant au cœur du bulbe pileux. L’activité des mélanocytes se poursuit jusqu’à ce que le catagène s’ensuit, lorsque la descendance différenciée de McSC subit une apoptose aux côtés de la descendance de HFSC.

La plupart des études sur les cellules souches adultes mélanocytaires ont été effectuées chez la souris qui est un organisme très poilu alors que chez l’humain, l’essentiel des mélanocytes se distribue entre les poils (dans l’épiderme interfolliculaire). Des précurseurs mélanocytaires pas pigmentés caractérisés par leur expression de CD90, de MITF, de TRP-2 en absence d’expression de c-kit, de tyrosinase ou de TRP-1 pourraient constituer une réserve de mélanocytes, prêts à proliférer et à se différencier si besoin (Michalak-Micka et al., 2022).

Signalons que parfois certains patrons de pigmentation ne sont pas dû à des défauts de migration ou de différenciation des mélanocytes. Par exemple, certains chats ou certains lapins ont une coloration foncée uniquement sur le bout des pattes et des oreilles et le museau. Cela est causé par une mutation de gène codant la Tyrosinase où la protéine devient thermosensible et n’a pas une conformation active à la température de la peau, sauf aux extrémités qui sont plus froides.

***Chat avec une mutation thermosensible de la tyrosinase. Source : https://en.wikipedia.org/wiki/Point_coloration#/media/File:Neighbours_Siamese.jpg

BRAF est l’un des gènes les plus souvent mutés dans les mélanomes, le pourcentage de mélanomes avec des mutations dans ce gène allant de 40 à 60 % selon les données. 80% de ces mutations BRAF sont en position V600E (Fedorenko et al., 2015). BRAF code une sérine/thréonine protéine kinase qui régule la voie de signalisation MAPK/ERK, impliquée dans la régulation de la prolifération, de la différenciation et de la survie cellulaire. La mutation V600E la rend constitutivement active.

Pages: 1 2